Skip to main page content
U.S. flag

An official website of the United States government

Dot gov

The .gov means it’s official.
Federal government websites often end in .gov or .mil. Before sharing sensitive information, make sure you’re on a federal government site.

Https

The site is secure.
The https:// ensures that you are connecting to the official website and that any information you provide is encrypted and transmitted securely.

Access keys NCBI Homepage MyNCBI Homepage Main Content Main Navigation
Review
. 2013 Mar;2(2):143-59.
doi: 10.2217/cns.12.47.

Optic pathway gliomas: a review

Affiliations
Review

Optic pathway gliomas: a review

Iris Fried et al. CNS Oncol. 2013 Mar.

Abstract

Optic pathway gliomas account for 3-5% of all pediatric CNS tumors and represent the most common intrinsic optic nerve tumors. These tumors occur preferentially during the first decade of life and are particularly frequent in children with neurofibromatosis type 1. Although optic pathway gliomas are low-grade tumors, their behavior can be aggressive, and their management is often challenging. Their management includes observation, surgery, chemotherapy and radiation. The role of each modality is discussed as well as current and future developments in treatment, in particular targeted therapies that are currently being investigated.

PubMed Disclaimer

Conflict of interest statement

Financial & competing interests disclosure

The authors have no relevant affiliations or financial involvement with any organization or entity with a financial interest in or financial conflict with the subject matter or materials discussed in the manuscript. This includes employment, consultancies, honoraria, stock ownership or options, expert testimony, grants or patents received or pending, or royalties.

No writing assistance was utilized in the production of this manuscript.

Figures

Figure 1.
Figure 1.. Unilateral optic nerve glioma in a 2-year-old child without neurofibromatosis type 1.
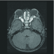
Figure 2.
Figure 2.. Bilateral optic nerve glioma in a 2-year-old child with neurofibromatosis type 1.
Figure 3.
Figure 3.. Response to single-agent vinblastine in a child with pilomyxoid astrocytoma.
(A) At the time of diagnosis, aged 12 months and (B) at end of chemotherapy, 18 months later.

References

    1. Dutton JJ. Gliomas of the anterior visual pathway. Surv. Ophthalmol. 1994;38(5):427–452. - PubMed
    1. Panizza B. [Anatomico-Surgical Remarks on a a Case of Medullary Fungus of the Eye] Pietro Bizzoni, S Bolzani; Pavia, Italia: 1821. pp. 1–45.
    1. Wishart JH. Case of extirpation of the eye-ball. Edinb. Med. Surg. J. 1833;40:274–276. - PMC - PubMed
    1. Jahraus CD, Tarbell NJ. Optic pathway gliomas. Pediatr. Blood Cancer. 2006;46(5):586–596. - PubMed
    1. Michel V. [About hyperplasia of the chiasm and the right optic nerve in the context of elephantiasis] Arch. Ophthalmol. 1873;19:145–164.

▪ Website

    1. www.cancer.gov/clinicaltrials/search/view?cdrid=445095&version=HealthPro... National Cancer Institute. Radiation therapy in treating young patients with gliomas.

MeSH terms