Neuroblastoma of the elderly, an oncologist's nightmare: case presentation, literature review and SEER database analysis
- PMID: 25071978
- PMCID: PMC4112985
- DOI: 10.1186/2162-3619-3-20
Neuroblastoma of the elderly, an oncologist's nightmare: case presentation, literature review and SEER database analysis
Abstract
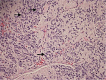
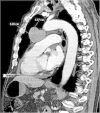
Neuroblastoma is considered a pediatric malignancy as over 95% of cases are diagnosed in patients ≤10 years old. This cancer is extremely rare in elderly patients. We conducted a Surveillance, Epidemiology, and End Results (SEER) database analysis in the USA between 1973-2007 that revealed only 35 elderly patients (>60 years of age) with neuroblastoma of whom only 2 patients had primary mediastinal neuroblastoma. There is a paucity of treatment and survival outcomes data for the elderly owing to the rarity of neuroblastoma in this population. Currently there are no standard guidelines or protocols for treatment of adult neuroblastoma. We report a rare and challenging case of an 86-year old patient presenting with mediastinal neuroblastoma and syndrome of inappropriate antidiuretic hormone secretion (SIADH) successfully treated with resection. Herein, we also provide a review of the literature and updated survival data on neuroblastoma based on results of our SEER database review.
Keywords: Adult; Neuroblastoma; SIADH; Thymus.
Figures
References
-
- Podda MG, Luksch R, Polastri D, Gandola L, Piva L, Collini P, Cefalo G, Terenziani M, Ferrari A, Casanova M, Spreafico F, Meazza C, Castellani MR, Catania S, Schiavello E, Marchianò A, Massimino M. Neuroblastoma in patients over 12 years old: a 20-year experience at Instituto Mazionale Tumori of Milan. Tumori. 2010;96(5):684–689. - PubMed
-
- Esiashivili N, Goodman M, Ward K, Marcus R, Johnstone P. Neuroblastoma in adults: incidence and survival analysis based on SEER data. Pediatr Blood Cancer. 2007;48:41–46. - PubMed
-
- Virchow R. Hyperplasie der Zirbel und der Nebennieren. Die Krankhaften Geschwulste. 1864;2:1864–1865.
Publication types
LinkOut - more resources
Full Text Sources
Other Literature Sources
