Thoracic endometriosis syndrome: case report and review of the literature
- PMID: 25102519
- PMCID: PMC4116267
- DOI: 10.7812/TPP/13-154
Thoracic endometriosis syndrome: case report and review of the literature
Abstract
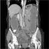
Thoracic endometriosis syndrome is the presence of endometrial tissue in or around the lung. Thoracic endometriosis syndrome consists of four distinct clinical entities: catamenial pneumothorax, catamenial hemothorax, hemoptysis, and pulmonary nodules. Thoracic endometriosis syndrome is a rare and complex condition, and diagnosis is often delayed or missed by clinicians, which can result in recurrent hospitalizations and other complications. Current treatments include hormone therapy and, where warranted, surgical intervention. We report the case of a 48-year-old woman with endometriosis causing bowel obstruction and concurrent catamenial pneumothorax.
Figures
References
-
- Agarwal N, Subramanian A. Endometriosis— morphology, clinical presentations and molecular pathology. J Lab Physicians. 2010 Jan;2(1):1–9. DOI: http://dx.doi.org/10.4103/0974-2727.66699. - DOI - PMC - PubMed
-
- Vinatier D, Orazi G, Cosson M, Dufour P. Theories of endometriosis. Eur J Obstet Gynecol Reprod Biol. 2001 May;96(1):21–34. DOI: http://dx.doi.org/10.1016/S0301-2115(00)00405-X. - DOI - PubMed
-
- Alifano M, Trisolini R, Cancellieri A, Regnard JF. Thoracic endometriosis: current knowledge. Ann Thorac Surg. 2006 Feb;81(2):761–9. DOI: http://dx.doi.org/10.1016/j.athoracsur.2005.07.044. - DOI - PubMed
-
- Hart C. Histologisch benigne metastasen vom bau eines adenomyoms 22 jahre nach exstirpation eines tumors der genitalien [Article in German] Frankf Z Pathol. 1912;10:78–90.
-
- Di Palo S, Mari G, Castoldi R, Staudacher C, Taccagni G, Di Carlo V. Endometriosis of the lung. Respir Med. 1989 May;83(3):255–8. DOI: http://dx.doi.org/10.1016/S0954-6111(89)80044-7. - DOI - PubMed
Publication types
MeSH terms
Supplementary concepts
LinkOut - more resources
Full Text Sources
Other Literature Sources
Medical
