Skip to main page content
U.S. flag

An official website of the United States government

Dot gov

The .gov means it’s official.
Federal government websites often end in .gov or .mil. Before sharing sensitive information, make sure you’re on a federal government site.

Https

The site is secure.
The https:// ensures that you are connecting to the official website and that any information you provide is encrypted and transmitted securely.

Access keys NCBI Homepage MyNCBI Homepage Main Content Main Navigation
. 2014 Jun;139(6):965-6.

Arc of Riolan

Affiliations

Arc of Riolan

Sureka Binit et al. Indian J Med Res. 2014 Jun.
No abstract available

PubMed Disclaimer

Figures

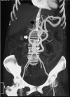
Fig. 1
Fig. 1
CT abdominal angiography maximum-intensity projection (MIP) image showing atherosclerotic occlusive aortoiliac disease (black arrow) with Arc of Riolan (white arrow) connecting SMA and IMA.
Fig. 2
Fig. 2
Volume-rendered 3D CT angiography image better depicting large mesenteric collateral Arc of Riolan (arrow).

References

    1. Michels NA, Siddharth P, Kornblith PL, Parke WW. The variant blood supply to the descending colon, rectosigmoid and rectum based on 400 dissections. Its importance in regional resections: a review of medical literature. Dis Colon Rectum. 1965;8:251–78. - PubMed
    1. Horton KM, Fishman EK. Volume-rendered 3D CT of the mesenteric vasculature: normal anatomy, anatomic variants, and pathologic conditions1. Radiographics. 2002;22:161–72. - PubMed
    1. McDermott S, Deipolyi A, Walker T, Ganguli S, Wicky S, Oklu R. Role of preoperative angiography in colon interposition surgery. Diagn Interv Radiol. 2012;18:314–8. - PubMed