Skip to main page content
U.S. flag

An official website of the United States government

Dot gov

The .gov means it’s official.
Federal government websites often end in .gov or .mil. Before sharing sensitive information, make sure you’re on a federal government site.

Https

The site is secure.
The https:// ensures that you are connecting to the official website and that any information you provide is encrypted and transmitted securely.

Access keys NCBI Homepage MyNCBI Homepage Main Content Main Navigation
. 2014 Aug 15;4(10):1943-53.
doi: 10.1534/g3.114.013078.

QTug.sau-3B is a major quantitative trait locus for wheat hexaploidization

Affiliations

QTug.sau-3B is a major quantitative trait locus for wheat hexaploidization

Ming Hao et al. G3 (Bethesda). .

Abstract

Meiotic nonreduction resulting in unreduced gametes is thought to be the predominant mechanism underlying allopolyploid formation in plants. Until now, however, its genetic base was largely unknown. The allohexaploid crop common wheat (Triticum aestivum L.), which originated from hybrids of T. turgidum L. with Aegilops tauschii Cosson, provides a model to address this issue. Our observations of meiosis in pollen mother cells from T. turgidum×Ae. tauschii hybrids indicated that first division restitution, which exhibited prolonged cell division during meiosis I, was responsible for unreduced gamete formation. A major quantitative trait locus (QTL) for this trait, named QTug.sau-3B, was detected on chromosome 3B in two T. turgidum×Ae. tauschii haploid populations. This QTL is situated between markers Xgwm285 and Xcfp1012 and covered a genetic distance of 1 cM in one population. QTug.sau-3B is a haploid-dependent QTL because it was not detected in doubled haploid populations. Comparative genome analysis indicated that this QTL was close to Ttam-3B, a collinear homolog of tam in wheat. Although the relationship between QTug.sau-3B and Ttam requires further study, high frequencies of unreduced gametes may be related to reduced expression of Ttam in wheat.

Keywords: CYCA1;2/TAM; Triticum aestivum; allopolyploidy; first division restitution; unreduced gametes.

PubMed Disclaimer

Figures

Figure 1
Figure 1
Outline of the production of haploid and doubled haploid populations.
Figure 2
Figure 2
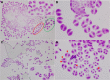
Chromosome constitutions. Genomic in situ hybridization on 42 root-tip chromosomes from A (pink), B (blue), and D (green) genomes (A). Fluorescence in situ hybridization using PAs1 (red), PSc119.2 (green), and PTa71 (yellow) as probes (B).
Figure 3
Figure 3
First division restitution (FDR) in LDN×AS60 F1 hybrids. Twenty-one univalents are visible at early metaphase (A). Univalents aligned on the equator at metaphase (B). Sister chromatids starting to separate (C). Univalents not aligned on the equator when they begin to split into sister chromatids remain connected at the centromeres (D). A restitution nucleus formed (E) and chromosomes subsequently congregate on the equator (F). Chromosomes undergoing equational division at anaphase (G, H). Centromeres were labeled in green.
Figure 4
Figure 4
Final products of first division restitution (FDR) and standard meiotic division (SMD). FDR occurs in almost all PMCs of an anther from an LDN×AS60 hybrid (A) and produces dyads (B). Co-existence of FDR and SMD in an anther from an AS2255×AS60 hybrid (C) and resultant dyads and tetrads (D). Arrowheads in (D) indicate micronuclei. Adjacent cells (A) within an anther seem to be more synchronous than random cells (represented by red and green circles).
Figure 5
Figure 5
Asynchronous cell cycles from an anther of an AS2255×AS60 hybrid. Adjacent cells within an anther seem to be more synchronous (represented by red and green circles).
Figure 6
Figure 6
Frequency distribution and QTL for hybrid genome doubling. Frequency distribution of haploid plants with different seed setting rate for populations SynH1 (A) and SynH2 (C) and a QTL for the two haploid (F1) populations (B and D, red). This QTL was not detected in the doubled haploid (F2) populations (B and D, green). Asterisk (*) after marker indicates deviation from the 1:1 expected segregation ratio at P < 0.05, ** at P < 0.01, *** at P < 0.005, **** at P < 0.001, and ****** at P < 0.0001.
Figure 7
Figure 7
Amino acid comparison of TAM/CYCA1:2 among wheat (Langdon-3A, 3B, and Chinese Spring-3D), rice (Os01g13260.1), Brachypodium (Bradi2g07946.1), and Arabidopsis (CYCA1:2/TAM). Red and green arrowheads indicate the two cyclin domains in Arabidopsis (Marchler-Bauer and Bryant 2004; Marchler-Bauer et al. 2009, 2011).
Figure 8
Figure 8
Expression changes of Ttam at different meiotic stages in the LDN×AS60 and AS2255×AS60 hybrids. Gene expression changes were assayed by qRT-PCR and analyzed by the 2−ΔΔCt method. Wheat β-actin was used as the reference gene.

References

    1. Bretagnolle F., Thompson J. D., 1995. Gametes with the stomatic chromosome number: mechanisms of their formation and role in the evolution of autopolypoid plants. New Phytol. 129: 1–22 - PubMed
    1. Brownfield L., Köhler C., 2011. Unreduced gamete formation in plants: mechanisms and prospects. J. Exp. Bot. 62: 1659–1668 - PubMed
    1. Bulankova P., Riehs-Kearnan N., Nowack M. K., Schnittger A., Riha K., 2010. Meiotic progression in Arabidopsis is governed by complex regulatory interactions between SMG7, TDM1, and the meiosis I-specific cyclin TAM. Plant Cell 22: 3791–3803 - PMC - PubMed
    1. Bulankova P., Akimcheva S., Fellner N., Riha K., 2013. Identification of Arabidopsis meiotic cyclins reveals functional diversification among plant cyclin genes. PLoS Genet. 9: e1003508. - PMC - PubMed
    1. Cai X., Xu S. S., 2007. Meiosis-driven genome variation in plants. Curr. Genomics 8: 151–161 - PMC - PubMed

Publication types

LinkOut - more resources