Squamous cell carcinoma of the suprapubic tract: A rare presentation in patients with chronic indwelling urinary catheters
- PMID: 25132900
- PMCID: PMC4113586
- DOI: 10.5489/cuaj.1637
Squamous cell carcinoma of the suprapubic tract: A rare presentation in patients with chronic indwelling urinary catheters
Abstract
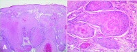
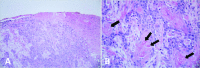
Squamous cell carcinoma (SCC) of the bladder is uncommon, but can arise in the setting of long-term bladder catheterization and chronic inflammation. SCC can arise primarily from the suprapubic catheter tract, but fewer than 10 such cases have been reported. We document 2 cases of SCC arising from the suprapubic tract associated with chronic indwelling urinary catheters. SCC must be differentiated from granulomatous conditions, which are quite common in patients with suprapubic catheters.
Figures





References
-
- Rous SN. Squamous cell carcinoma of the bladder. J Urol. 1978;120:561–2. - PubMed
-
- Kaufman JM, Fam B, Jacobs SC, et al. Bladder cancer and squamous metaplasia in spinal cord injury patients. J Urol. 1977;118:967–71. - PubMed
-
- Bejany DE, Lockhart JL, Rhamy RK. Malignant vesical tumors following spinal cord injury. J Urol. 1987;138:1390–2. - PubMed
LinkOut - more resources
Full Text Sources
Other Literature Sources
Research Materials