Colloid cysts posterior and anterior to the foramen of Monro: Anatomical features and implications for endoscopic excision
- PMID: 25140283
- PMCID: PMC4135544
- DOI: 10.4103/2152-7806.138364
Colloid cysts posterior and anterior to the foramen of Monro: Anatomical features and implications for endoscopic excision
Abstract
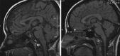
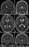
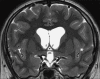
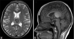
Background: Colloid cysts are usually located at the rostral part of the third ventricle in proximity to the foramina of Monro. Some third ventricular colloid cysts, however, attain large sizes, reach a very high distance above the roof of the third ventricle, and pose some challenges during endoscopic excision. These features led to the speculation that for such a pattern of growth to take place, the points of origin of these cysts should be at areas away from the foramina of Monro at which some anatomical "windows" exist that are devoid of compact, closely apposed forniceal structures.
Methods: A review of the literature on anatomical variations of the structures in the vicinity of the roof of the third ventricle and on reported cases with similar features was conducted.
Results: Colloid cysts may grow vertically up past the roof of the third ventricle through anatomical windows devoid of the mechanical restraint of the forniceal structures.
Conclusion: Some anatomical variations of the forniceal structures may allow unusually large sizes and superior vector of growth of a retro- or post-foraminal colloid cyst. Careful preoperative planning and knowledge of the pertinent pathoanatomy of these cysts before endoscopic excision is very important to avoid complications.
Keywords: Cavum; colloid cyst; endoscopic; foramen of Monro; fornix; third ventricle.
Figures












References
-
- Apuzzo ML, Chikovani OK, Gott PS, Teng EL, Zee CS, Giannotta SL, et al. Transcallosal interfornicial approaches for lesions affecting the third ventricle: Surgical considerations and consequences. Neurosurgery. 1982;10:547–54. - PubMed
-
- Apuzzo ML, Amar AP. Transcallosal interforniceal approach. In: Apuzzo ML, editor. Surgery of the third ventricle. Baltimore: Williams and Wilkins; 1998. pp. 421–52.
-
- Born CM, Meisenzahl EM, Frodl T, Pfluger T, Reiser M, Möller HJ, et al. The septum pellucidum and its variants. An MRI study. Eur Arch Psychiatry Clin Neurosci. 2004;254:295–302. - PubMed
-
- Byrom FB, Russell DS. Ependymal cyst of the third ventricle associated with diabetes mellitus. Lancet. 1932;220:278–82.
-
- Callen PW, Callen AL, Glenn OA, Toi A. Columns of the Fornix, Not to be mistaken for the cavum septi pellucidi on prenatal sonography. J Ultrasound Med. 2008;27:25–31. - PubMed
Publication types
LinkOut - more resources
Full Text Sources
Other Literature Sources
Miscellaneous