Neospora caninum infection as a cause of reproductive failure in a sheep flock
- PMID: 25158756
- PMCID: PMC4153895
- DOI: 10.1186/s13567-014-0088-5
Neospora caninum infection as a cause of reproductive failure in a sheep flock
Abstract
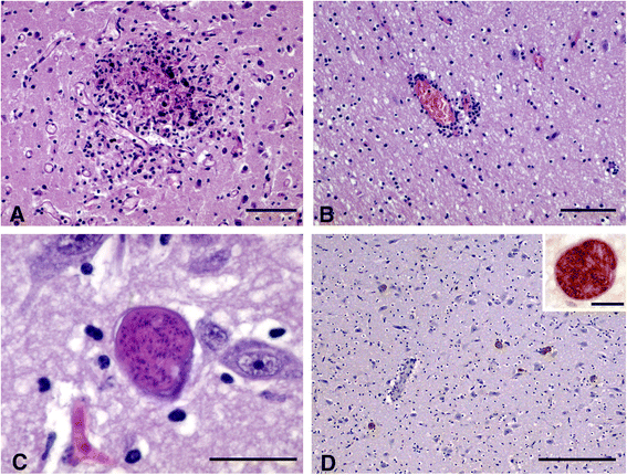
Neospora caninum has been detected only sporadically in cases of ovine abortion, and it has therefore traditionally been considered as an unimportant parasite in small ruminants. This study was carried out with the aim of identifying the pathogen causing serious reproductive problems on a commercial sheep farm. Sera from all rams and ewes tested negative for antibodies against Border disease virus, Schmallenberg virus and Coxiella burnetii, and infections by these agents were therefore ruled out. Nevertheless, seropositivity to N. caninum and/or Toxoplasma gondii was detected, although the seroprevalence was higher in the case of N. caninum. The percentage of lambings and the number of lambs per dam were significantly lower in ewes that were seropositive to N. caninum while no effect on these parameters was detected in ewes that were seropositive to T. gondii. There was also no evidence of infection by T. gondii in the foetal/lamb tissues analyzed by PCR and/or immunohistopathological techniques. On the contrary, the DNA of N. caninum was detected in 13 out of 14 foetuses/lambs descendant from dams seropositive to this parasite. Characteristic lesions caused by N. caninum and/or its antigen were also detected. Genotyping of the N. caninum DNA revealed only two closely related microsatellite multilocus genotypes. The results clearly demonstrate that infection by N. caninum was the cause of the low reproductive performance of this sheep flock.
Figures
 
              
              
              
              
                
                
                References
- 
    - Buxton D. Protozoan infections (Toxoplasma gondii, Neospora caninum and Sarcocystis spp.) in sheep and goats: recent advances. Vet Res. 1998;29:289–310. - PubMed
 
Publication types
MeSH terms
Substances
LinkOut - more resources
- Full Text Sources
- Other Literature Sources
 
        