Management of hepatocellular carcinoma
- PMID: 25158999
- PMCID: PMC11823677
- DOI: 10.1007/s00432-014-1806-0
Management of hepatocellular carcinoma
Abstract
Purpose: Hepatocellular carcinoma (HCC), a common cause for cancer-related death, is increasing worldwide. Over the past decade, survival and quality of life of HCC patients have significantly improved due to better prevention strategies, early diagnosis, and improved treatment options. We performed this narrative review to synthesize current status on the HCC management.
Methods: Literature search for publications especially over the last decade, which has changed the paradigm on the management of HCC.
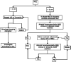
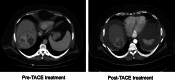
Results: Hepatitis B vaccination and treatment of chronic hepatitis B and C are important measures for HCC prevention. Screening and surveillance for HCC using ultrasonogram and alpha-fetoprotein estimation are directed toward cirrhotics and hepatitis B patients at high risk of HCC. If detected at an early stage, curative treatments for HCC can be used such as tumor resection, ablation and liver transplantation. HCC patients without curative options are managed by loco-regional therapies and systemic chemotherapy. Loco-regional treatments include trans-arterial chemoembolization, radioembolization and combinations of loco-regional plus systemic therapies. Currently, sorafenib is the only FDA-approved systemic therapy and newer better chemotherapeutic agents are being investigated. Palliative care for terminally ill patients with metastatic disease and/or poor functional status focusses on comfort care and symptom control.
Conclusions: In spite of significant advancement in HCC management, its incidence continues to rise. There remains an urgent need to continue refining understanding of HCC and develop strategies to increase utilization of the available preventive measures and curative treatment modalities for HCC.
Figures
 
              
              
              
              
                
                
                 
              
              
              
              
                
                
                 
              
              
              
              
                
                
                 
              
              
              
              
                
                
                 
              
              
              
              
                
                
                 
              
              
              
              
                
                
                References
- 
    - Adachi E, Maeda T, Matsumata T, Shirabe K, Kinukawa N, Sugimachi K et al (1995) Risk factors for intrahepatic recurrence in human small hepatocellular carcinoma. Gastroenterology 108(3):768–775 - PubMed
 
- 
    - Adachi Y, Tsuchihashi J, Shiraishi N, Yasuda K, Etoh T, Kitano S (2003) AFP-producing gastric carcinoma: multivariate analysis of prognostic factors in 270 patients. Oncology 65(2):95–101 - PubMed
 
- 
    - Bruix J, Llovet JM (2002) Prognostic prediction and treatment strategy in hepatocellular carcinoma. Hepatology 35(3):519–524 - PubMed
 
- 
    - Bruix J, Castells A, Bosch J, Feu F, Fuster J, Garcia-Pagan JC et al (1996) Surgical resection of hepatocellular carcinoma in cirrhotic patients: prognostic value of preoperative portal pressure. Gastroenterology 111(4):1018–1022 - PubMed
 
Publication types
MeSH terms
Substances
LinkOut - more resources
- Full Text Sources
- Other Literature Sources
- Medical
- Miscellaneous
 
        