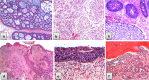
Dedifferentiated salivary hybrid carcinoma of the maxillary sinus with pagetoid spread to the overlying lining mucosa
- PMID: 25179376
- PMCID: PMC4424200
- DOI: 10.1007/s12105-014-0564-2
Dedifferentiated salivary hybrid carcinoma of the maxillary sinus with pagetoid spread to the overlying lining mucosa
Figures


References
-
- Ellis G, Auclair P, Gnepp D, editors. Surgical pathology of the salivary glands. Philadelphia: Saunders; 1991.
Publication types
MeSH terms
LinkOut - more resources
Full Text Sources
Other Literature Sources
Medical