Pompe disease: from pathophysiology to therapy and back again
- PMID: 25183957
- PMCID: PMC4135233
- DOI: 10.3389/fnagi.2014.00177
Pompe disease: from pathophysiology to therapy and back again
Abstract
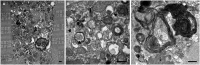
Pompe disease is a lysosomal storage disorder in which acid alpha-glucosidase (GAA) is deficient or absent. Deficiency of this lysosomal enzyme results in progressive expansion of glycogen-filled lysosomes in multiple tissues, with cardiac and skeletal muscle being the most severely affected. The clinical spectrum ranges from fatal hypertrophic cardiomyopathy and skeletal muscle myopathy in infants to relatively attenuated forms, which manifest as a progressive myopathy without cardiac involvement. The currently available enzyme replacement therapy (ERT) proved to be successful in reversing cardiac but not skeletal muscle abnormalities. Although the overall understanding of the disease has progressed, the pathophysiology of muscle damage remains poorly understood. Lysosomal enlargement/rupture has long been considered a mechanism of relentless muscle damage in Pompe disease. In past years, it became clear that this simple view of the pathology is inadequate; the pathological cascade involves dysfunctional autophagy, a major lysosome-dependent intracellular degradative pathway. The autophagic process in Pompe skeletal muscle is affected at the termination stage-impaired autophagosomal-lysosomal fusion. Yet another abnormality in the diseased muscle is the accelerated production of large, unrelated to ageing, lipofuscin deposits-a marker of cellular oxidative damage and a sign of mitochondrial dysfunction. The massive autophagic buildup and lipofuscin inclusions appear to cause a greater effect on muscle architecture than the enlarged lysosomes outside the autophagic regions. Furthermore, the dysfunctional autophagy affects the trafficking of the replacement enzyme and interferes with its delivery to the lysosomes. Several new therapeutic approaches have been tested in Pompe mouse models: substrate reduction therapy, lysosomal exocytosis following the overexpression of transcription factor EB and a closely related but distinct factor E3, and genetic manipulation of autophagy.
Keywords: Pompe disease; autophagy; enzyme replacement therapy; lipofuscin; lysosome.
Figures




References
-
- Banugaria S. G., Prater S. N., Ng Y. K., Kobori J. A., Finkel R. S., Ladda R. L., et al. (2011). The impact of antibodies on clinical outcomes in diseases treated with therapeutic protein: lessons learned from infantile Pompe disease. Genet. Med. 13, 729–736 10.1097/gim.0b013e3182174703 - DOI - PMC - PubMed
Publication types
LinkOut - more resources
Full Text Sources
Other Literature Sources
Miscellaneous