Pandora's box and retrorectal tumors in laparoscopy: A case report and review of the literature
- PMID: 25194610
- PMCID: PMC4189049
- DOI: 10.1016/j.ijscr.2014.08.012
Pandora's box and retrorectal tumors in laparoscopy: A case report and review of the literature
Abstract
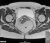
Introduction: Retrorectal tumors are uncommon and the etiology diverse. Literature to define the preoperative diagnosis and plan the intraoperative management are uncommon.
Presentation of case: We describe a case of a 44 year old patient with a laparoscopic approach for the removal of a retrorectal tumor and emphasize on the preoperative diagnostics and the intraoperative, minimal invasive approach.
Discussion: Especially because these tumors are rare and often an incidental finding in gynecologic surgery, it is important to know the various differential diagnoses and its consequences with the laparoscopic approach.
Conclusion: We suggest the laparoscopic approach in cases of retroperitoneal cysts of unknown origin is ideal also because anatomic structures, mostly nerves, can be easily spared.
Keywords: Laparoscopy; Retrorectal cyst; Tarlov cyst.
Copyright © 2014 The Authors. Published by Elsevier Ltd.. All rights reserved.
Figures




References
-
- Lev-Chelouche D., Gutman M., Goldman G., Even-Sapir E., Meller I., Issakov J. Presacral tumors: a practical classification and treatment of a unique and heterogeneous group of diseases. Surgery. 2003;133(May):473–478. - PubMed
-
- Singer M.A., Cintron J.R., Martz J.E., Schoetz D.J., Abcarian H. Retrorectal cyst: a rare tumor frequently misdiagnosed. J Am Coll Surg. 2003;196(June):880–886. - PubMed
-
- Uhlig B.E., Johnson R.L. Presacral tumors and cysts in adults. Dis Colon Rectum. 1975;18(October):581–589. - PubMed
-
- Jao S.W., Beart R.W., Jr., Spencer R.J., Reiman H.M., Ilstrup D.M. Retrorectal tumors. Mayo Clinic experience, 1960–1979. Dis Colon Rectum. 1985;28(September):644–652. - PubMed
LinkOut - more resources
Full Text Sources
Other Literature Sources
Research Materials