Notch activation as a driver of osteogenic sarcoma
- PMID: 25203324
- PMCID: PMC4159617
- DOI: 10.1016/j.ccr.2014.07.023
Notch activation as a driver of osteogenic sarcoma
Abstract
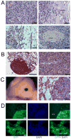
Osteogenic sarcoma (OS) is a deadly skeletal malignancy whose cause is unknown. We report here a mouse model of OS based on conditional expression of the intracellular domain of Notch1 (NICD). Expression of the NICD in immature osteoblasts was sufficient to drive the formation of bone tumors, including OS, with complete penetrance. These tumors display features of human OS; namely, histopathology, cytogenetic complexity, and metastatic potential. We show that Notch activation combined with loss of p53 synergistically accelerates OS development in mice, although p53-driven OS is not Rbpj dependent, which demonstrates a dual dominance of the Notch oncogene and p53 mutation in the development of OS. Using this model, we also reveal the osteoblasts as the potential sources of OS.
Copyright © 2014 Elsevier Inc. All rights reserved.
Figures
References
-
- Baird K, Davis S, Antonescu CR, Harper UL, Walker RL, Chen Y, Glatfelter AA, Duray PH, Meltzer PS. Gene expression profiling of human sarcomas: insights into sarcoma biology. Cancer research. 2005;65:9226–9235. - PubMed
-
- Berman SD, Calo E, Landman AS, Danielian PS, Miller ES, West JC, Fonhoue BD, Caron A, Bronson R, Bouxsein ML, et al. Metastatic osteosarcoma induced by inactivation of Rb and p53 in the osteoblast lineage. Proceedings of the National Academy of Sciences of the United States of America. 2008;105:11851–11856. - PMC - PubMed
-
- Beverly LJ, Capobianco AJ. Perturbation of Ikaros isoform selection by MLV integration is a cooperative event in Notch(IC)-induced T cell leukemogenesis. Cancer cell. 2003;3:551–564. - PubMed
-
- Cai Y, Mohseny AB, Karperien M, Hogendoorn PC, Zhou G, Cleton-Jansen AM. Inactive Wnt/beta-catenin pathway in conventional high-grade osteosarcoma. The Journal of pathology. 2009;220:24–33. - PubMed
Publication types
MeSH terms
Substances
Associated data
Grants and funding
- R01 DE016990/DE/NIDCR NIH HHS/United States
- HD022657/HD/NICHD NIH HHS/United States
- AI036211/AI/NIAID NIH HHS/United States
- U54 HD083092/HD/NICHD NIH HHS/United States
- DE016990/DE/NIDCR NIH HHS/United States
- R03 AR061565/AR/NIAMS NIH HHS/United States
- P30 HD024064/HD/NICHD NIH HHS/United States
- P30 CA125123/CA/NCI NIH HHS/United States
- AR061565/AR/NIAMS NIH HHS/United States
- T32 EY007102/EY/NEI NIH HHS/United States
- HD024064/HD/NICHD NIH HHS/United States
- P01 HD022657/HD/NICHD NIH HHS/United States
- HHMI/Howard Hughes Medical Institute/United States
- P01 HD070394/HD/NICHD NIH HHS/United States
- RR024574/RR/NCRR NIH HHS/United States
LinkOut - more resources
Full Text Sources
Other Literature Sources
Medical
Molecular Biology Databases
Research Materials
Miscellaneous
