Skip to main page content
U.S. flag

An official website of the United States government

Dot gov

The .gov means it’s official.
Federal government websites often end in .gov or .mil. Before sharing sensitive information, make sure you’re on a federal government site.

Https

The site is secure.
The https:// ensures that you are connecting to the official website and that any information you provide is encrypted and transmitted securely.

Access keys NCBI Homepage MyNCBI Homepage Main Content Main Navigation
. 2013 Jun;30(2):191-6.
doi: 10.5152/balkanmedj.2013.6995. Epub 2013 Jun 1.

Diagnosis, treatment and outcomes of patients with aortopulmonary window

Affiliations

Diagnosis, treatment and outcomes of patients with aortopulmonary window

Ibrahim Halil Demir et al. Balkan Med J. 2013 Jun.

Abstract

Background: Aortopulmonary window (APW) is a communication between the ascending aorta and the pulmonary artery in the presence of two separate semilunar valves and is the rarest of septal defects.

Aims: To present our experience with the diagnosis and outcome of APW cases.

Study design: Retrospective cohort study.

Methods: Between June 2003 and October 2011, thirteen patients were diagnosed with APW. Clinical features of patients, findings of echocardiographic and angiographic examination, results of surgical intervention and follow-up were reviewed retrospectively.

Results: Eleven children (10 days to 16 years), underwent surgical correction of APW. In a 12-month-old boy, the defect was repaired by the transcatheter approach. In addition to APW repair, closure of VSD was performed in 2 patients. APW were associated with interruption in two patients; one also had a complex pathology. None of the patients died due to complications of surgical or transcatheter procedures. After a median follow-up period of 40 months, the patients were asymptomatic and none of them required additional medication, except for the patient with complex pathology including an interrupted aortic arch, who underwent balloon angioplasty for recoarctation.

Conclusion: In any infant with the findings of congestive heart failure and failure to thrive, APW must be kept in mind as a differential diagnosis. In isolated APW cases before 6 months of age, echocardiography is often sufficient for diagnosis. In complex cases, cardiac catheterisation is performed for the comprehensive evaluation of associated defects. After 6 months, cardiac catheterisation could be utilised to perform vasoreactivity testing and, if possible, to close the defect.

Keywords: Aortopulmonary window; aortopulmonary septal defect; pulmonary hypertension.

PubMed Disclaimer

Figures

Figure 1.
Figure 1.
APW, functioning like an aortopulmonary shunt, accompanying the double outlet right ventricle (Fallot type) in a patient with Cornelia De Lange syndrome
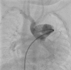
Figure 2.
Figure 2.
Aortagram after closure of aortopulmonary window with a muscular ventricular septal defect occluder
Figure 3.
Figure 3.
Angiogram of aortopulmonary window associated with interruption (case 13)

References

    1. Tiraboschi R, Salomone G, Crupi G, Manasse E, Salim A, Carminati M, et al. Aortopulmonary window in the first year of life: report on 11 surgical cases. Ann Thorac Surg. 1988;46:438–41. - PubMed
    1. McElhinney DB, Reddy MV, Tworetzky W, Silverman NH, Hanley FL. Early and late results after repair of aortopulmonary septal defect and associated anomalies in infants < 6 months of age. Am J Cardiol. 1998;81:195–201. - PubMed
    1. Backer CL, Mavroudis C. Surgical management of aortopulmonary window: a 40 year experience. Eur J Cardiothorac Surg. 2002;21:773–9. - PubMed
    1. Tkebuchava T, Von Segesser LK, Vogt PR, Bauersfeld U, Jenni R, Künzli A, et al. Congenital aortopulmonary window: diagnosis, surgical technique and long term results. Eur J Cardiothorac Surg. 1997;11:293–7. - PubMed
    1. Atiq M, Rashid N, Kazmi KA, Qureshi SA. Closure of aortopulmonary window with amplatzer duct occluder device. Pediatr Cardiol. 2003;24:298–9. - PubMed

LinkOut - more resources