Update on anaplastic thyroid carcinoma: morphological, molecular, and genetic features of the most aggressive thyroid cancer
- PMID: 25214840
- PMCID: PMC4158294
- DOI: 10.1155/2014/790834
Update on anaplastic thyroid carcinoma: morphological, molecular, and genetic features of the most aggressive thyroid cancer
Abstract
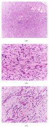
Anaplastic thyroid carcinoma (ATC) is the most aggressive form of thyroid cancer. It shows a wide spectrum of morphological presentations and the diagnosis could be challenging due to its high degree of dedifferentiation. Molecular and genetic features of ATC are widely heterogeneous as well and many efforts have been made to find a common profile in order to clarify its cancerogenetic process. A comprehensive review of the current literature is here performed, focusing on histopathological and genetic features.
Figures









References
-
- de Lellis RA, Lloyd RV, Heitz PU, Eng C. Pathology and Genetics of Endocrine Organs. Lyon, France: IARC; 2004.
-
- Carcangiu ML, Steeper T, Zampi G, Rosai J. Anaplastic thyroid carcinoma: a study of 70 cases. American Journal of Clinical Pathology. 1985;83(2):135–158. - PubMed
-
- Rosai J, Saxen EA, Woolner L. Undifferentiated and poorly differentiated carcinoma. Seminars in Diagnostic Pathology. 1985;2(2):123–136. - PubMed
-
- Venkatesh YS, Ordonez NG, Schultz PN, Hickey RC, Goepfert H, Samaan NA. Anaplastic carcinoma of the thyroid. A clinicopathologic study of 121 cases. Cancer. 1990;66(2):321–330. - PubMed
-
- Schmid KW, Kroll M, Hofstadter F, Ladurner D. Small cell carcinoma of the thyroid. A reclassification of cases originally diagnosed as small cell carcinomas of the thyroid. Pathology Research and Practice. 1986;181(5):540–543. - PubMed
Publication types
LinkOut - more resources
Full Text Sources
Other Literature Sources
Research Materials