Skip to main page content
U.S. flag

An official website of the United States government

Dot gov

The .gov means it’s official.
Federal government websites often end in .gov or .mil. Before sharing sensitive information, make sure you’re on a federal government site.

Https

The site is secure.
The https:// ensures that you are connecting to the official website and that any information you provide is encrypted and transmitted securely.

Access keys NCBI Homepage MyNCBI Homepage Main Content Main Navigation
Review
. 2012;3(2):85-90.
doi: 10.5847/wjem.j.issn.1920-8642.2012.02.001.

An overview of emergency ultrasound in the United States

Affiliations
Review

An overview of emergency ultrasound in the United States

Jeremy A Michalke. World J Emerg Med. 2012.

Abstract

Background: As emergency ultrasound use explodes around the world, it is important to realize the path its development has taken and learn from trials and tribulations of early practitioners in the field.

Methods: Approaches to education, scanning, documentation, and organization are also described.

Results: Machines have reduced in price and once purchased further material costs are low. Staffing costs in terms of training, etc have yet to be assessed, but indications from elsewhere are that these are low. Length of stay in the emergency department dramatically decreases, thus increasing patient satisfaction while maintaining an even higher standard of care.

Conclusion: Emergency screening ultrasound is now a nationally accepted tool for the rapid assessment of the emergency patient.

Keywords: Emergency ultrasound; United States.

PubMed Disclaimer

Conflict of interest statement

Conflicts of interest: The authors have no financial or other conflicts of interest regarding this article.

Figures

Figure 1
Figure 1
Morison’s pouch.
Figure 2
Figure 2
Pericardial effusion.
Figure 3
Figure 3
Perisplenic fluid.
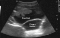
Figure 4
Figure 4
Suprapubic free fluid.
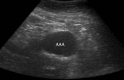
Figure 5
Figure 5
Abdominal aortic aneurysm.
Figure 6
Figure 6
Intrauterine pregnancy.
Figure 7
Figure 7
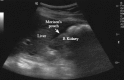
Hydronephrosis.
Figure 8
Figure 8
Gallstones.
Figure 9
Figure 9
ACEP 2008 scopes of practice.

References

    1. Tiling T, Bouillon B, Schmid A. Ultrasound in blunt abdominothoracic trauma. In: Border J, Algoewer M, Reudi T, editors. Blunt multiple trauma. New York: Marcel Dekker; 1990.
    1. Tso P, Rodriguez A, Cooper C, Militello P, Mirvis S, Badellino MM, et al. Sonography in blunt abdominal trauma: A preliminary progress report. J Trauma. 1992;33:39–43. - PubMed
    1. Rozycki GS, Ochsner MG, Jaffin JH, Champion HR. Prospective evaluation of surgeons’ use of ultrasound in the evaluation of trauma patients. J Trauma. 1993;34:516–526. - PubMed
    1. Ma OJ, Mateer JR, Ogata M, Kefer MP, Wittmann D, Aprahamian C. Prospective analysis of a rapid trauma ultrasound examination performed by emergency physicians. J Trauma. 1995;38:879–885. - PubMed
    1. McKenney MG, Martin L, Lentz K, Lopez C, Sleeman D, Aristide G, et al. 1000 consecutive ultrasounds for blunt abdominal trauma. J Trauma. 1996;40:607–610. - PubMed

LinkOut - more resources