Skip to main page content
U.S. flag

An official website of the United States government

Dot gov

The .gov means it’s official.
Federal government websites often end in .gov or .mil. Before sharing sensitive information, make sure you’re on a federal government site.

Https

The site is secure.
The https:// ensures that you are connecting to the official website and that any information you provide is encrypted and transmitted securely.

Access keys NCBI Homepage MyNCBI Homepage Main Content Main Navigation
. 2013 Apr 1;1(1):5.

Brain Vascular Malformation Consortium: Overview, Progress and Future Directions

Affiliations

Brain Vascular Malformation Consortium: Overview, Progress and Future Directions

Amy L Akers et al. J Rare Disord. .

Abstract

Brain vascular malformations are resource-intensive to manage effectively, are associated with serious neurological morbidity, lack specific medical therapies, and have no validated biomarkers for disease severity and progression. Investigators have tended to work in "research silos" with suboptimal cross-communication. We present here a paradigm for interdisciplinary collaboration to facilitate rare disease research. The Brain Vascular Malformation Consortium (BVMC) is a multidisciplinary, inter-institutional group of investigators, one of 17 consortia in the Office of Rare Disease Research Rare Disease Clinical Research Network (RDCRN). The diseases under study are: familial Cerebral Cavernous Malformations type 1, common Hispanic mutation (CCM1-CHM); Sturge-Weber Syndrome (SWS); and brain arteriovenous malformation in hereditary hemorrhagic telangiectasia (HHT). Each project is developing biomarkers for disease progression and severity, and has established scalable, relational databases for observational and longitudinal studies that are stored centrally by the RDCRN Data Management and Coordinating Center. Patient Support Organizations (PSOs) are a key RDCRN component in the recruitment and support of participants. The BVMC PSOs include Angioma Alliance, Sturge Weber Foundation, and HHT Foundation International. Our networks of clinical centers of excellence in SWS and HHT, as well as our PSOs, have enhanced BVMC patient recruitment. The BVMC provides unique and valuable resources to the clinical neurovascular community, and recently reported findings are reviewed. Future planned studies will apply successful approaches and insights across the three projects to leverage the combined resources of the BVMC and RDCRN in advancing new biomarkers and treatment strategies for patients with vascular malformations.

PubMed Disclaimer

Figures

Figure 1
Figure 1
Organizational chart for Rare Diseases Clinical Research Consortium administrative functions (light blue) and experimental service cores serving all projects. NINDS, National Institute of Neurological Disorders and Stroke; ORDR, Office of Rare Diseases Research; NCATS, National Center for Advancing Translational Sciences; RDCRN, Rare Diseases Clinical Research Network
Figure 2
Figure 2
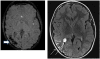
Magnetic resonance imaging scan of a 78-year-old man with CCM1-CHM. Axial T2-weighted image (A) shows a posterior right temporal lobe typical CCM with reticulated, mixed signal internally and peripheral hemosiderin rim (arrow), and a few small additional small foci of low signal. The axial susceptibility-weighted image (B) is more sensitive for blood breakdown products and shows numerous areas of low signal intensity (dark areas on the image) within small CCMs.
Figure 3
Figure 3
Scatterplot of log-transformed lesion count by age in 176 CCM1-CHM patients showing a significant positive linear relationship (R2=0.4496, P<.001). Linear regression analysis showed a 5% increase in lesion count for every 1-year increase age (95% CI=1.04-1.06, P<.001).
Figure 4
Figure 4
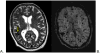
Axial MRI images from the same individual with Sturge-Weber syndrome showing typical imaging findings of loss of signal on susceptibility-weighted imaging in the right parietal-occipital region, indicating calcification (thick arrow, left panel) and leptomeningeal and choroid plexus enhancement (thin arrow, right panel).
Figure 5
Figure 5
Hereditary hemorrhagic telangiectasia is characterized by the presence of (A) mucocutaneous telangiectasia and (B and C) organ arteriovenous malformations (AVMs): (B) lung AVMs demonstrated on pulmonary angiogram, and (C) two brain AVMs on catheter angiogram in a 4-year-old boy.

References

    1. Health Promotion and Disease Prevention Amendments of 1984. 1984 Oct 30; Pub. L. 98-551, 98 Stat. 2815.
    1. Orphan Drug Act of 1983. 1983 Jan 4; Pub. L. No. 97-414, 96 Stat. 2049.
    1. Gupta S, Bayoumi AM, Faughnan ME. Rare lung disease research: strategies for improving identification and recruitment of research participants. Chest. 2011;140:1123–1129. - PubMed
    1. Rare Diseases Clinical Research Network. BVMC: Brain Vascular Malformation Consortium. [July 1, 2012]; [Internet]. http://rarediseasesnetwork.epi.usf.edu/BVMC/index.htm.
    1. Office of Rare Diseases. Department of Health and Human Services, National Institutes of Health; 2001. [July 1, 2012]. Report on Steps to Coordinate Rare Diseases Research Programs: Analysis by and Recommendations of the Special Emphasis Panel of the National Institutes of Health on the Coordination of Rare Diseases Research. http://rarediseases.info.nih.gov/news-reports/fy99annual/SEP.html.