Multiple primary malignant neoplasms of the glottis, renal pelvis, urinary bladder, oral floor, prostate, and esophagus in a Japanese male patient: a case report
- PMID: 25245383
- PMCID: PMC4194374
- DOI: 10.1186/1477-7819-12-294
Multiple primary malignant neoplasms of the glottis, renal pelvis, urinary bladder, oral floor, prostate, and esophagus in a Japanese male patient: a case report
Abstract
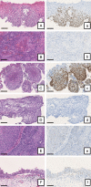
Owing to recent advances in diagnostic and surgical techniques for cancer, a patient diagnosed with two or more neoplasms is not rare. We report on the case of a 58-year-old male with multiple primary malignant neoplasms, who suffered from three histological types of malignant neoplasm in six organs, namely the glottis, renal pelvis, urinary bladder, oral floor, prostate, and esophagus in chronological order. The first neoplasm was a squamous cell carcinoma of the glottis diagnosed in 2006. The second and third neoplasms were urothelial carcinomas of the right renal pelvis and urinary bladder, respectively, diagnosed in 2008. The remaining three neoplasms were diagnosed in 2010, namely a squamous cell carcinoma of the oral floor, an adenocarcinoma of the prostate, and a squamous cell carcinoma of the esophagus. The glottic cancer and esophageal cancer were treated by external radiation therapy. The malignant neoplasms of the oral floor and those which originated in the urinary tract were surgically resected. All neoplasms except the malignant neoplasm of the oral floor were well controlled. The patient died of cervical lymph node metastasis from the squamous cell carcinoma of the oral floor in January 2011. As far as we know, the present report is the first one on this combination of primary malignant neoplasms.
Figures

References
-
- Billroth T. Handbuch fur Studierende and Artze, 14. Berlin: Auflage; 1889. Die allgemeine chirurgische pathologie und therapie.
-
- Warren S, Gates O. Multiple primary malignant tumors: a survey of the literature and a statistic study. Am J Cancer. 1932;16:1358–1414.
-
- The Seer Program Coding and Staging Manual, Volume Revision 1. 2004. http://seer.cancer.gov/archive/manuals/2004Revision1/SPM_2004_maindoc.r1...
-
- Perrone F, Suardi S, Pastore E, Casieri P, Orsenigo M, Caramuta S, Dagrada G, Losa M, Licitra L, Bossi P, Staurengo S, Oggionni M, Locati L, Cantu G, Squadrelli M, Carbone A, Pierotti MA, Pilotti S. Molecular and cytogenetic subgroups of oropharyngeal squamous cell carcinoma. Clin Cancer Res. 2006;12:6643–6651. doi: 10.1158/1078-0432.CCR-06-1759. - DOI - PubMed
Publication types
MeSH terms
LinkOut - more resources
Full Text Sources
Other Literature Sources
Medical
Research Materials