Terminal duct lobular unit involution of the normal breast: implications for breast cancer etiology
- PMID: 25274491
- PMCID: PMC4200067
- DOI: 10.1093/jnci/dju286
Terminal duct lobular unit involution of the normal breast: implications for breast cancer etiology
Abstract
Background: Greater degrees of terminal duct lobular unit (TDLU) involution have been linked to lower breast cancer risk; however, factors that influence this process are poorly characterized.
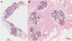
Methods: To study this question, we developed three reproducible measures that are inversely associated with TDLU involution: TDLU counts, median TDLU span, and median acini counts/TDLU. We determined factors associated with TDLU involution using normal breast tissues from 1938 participants (1369 premenopausal and 569 postmenopausal) ages 18 to 75 years in the Susan G. Komen Tissue Bank at the Indiana University Simon Cancer Center. Multivariable zero-inflated Poisson models were used to estimate relative risks (RRs) and 95% confidence intervals (95% CIs) for factors associated with TDLU counts, and multivariable ordinal logistic regression models were used to estimate odds ratios (ORs) and 95% CIs for factors associated with categories of median TDLU span and acini counts/TDLU.
Results: All TDLU measures started declining in the third age decade (all measures, two-sided P trend ≤ .001); and all metrics were statistically significantly lower among postmenopausal women. Nulliparous women demonstrated lower TDLU counts compared with uniparous women (among premenopausal women, RR = 0.79, 95% CI = 0.73 to 0.85; among postmenopausal, RR = 0.67, 95% CI = 0.56 to 0.79); however, rates of age-related TDLU decline were faster among parous women. Other factors were related to specific measures of TDLU involution.
Conclusion: Morphometric analysis of TDLU involution warrants further evaluation to understand the pathogenesis of breast cancer and assessing its role as a progression marker for women with benign biopsies or as an intermediate endpoint in prevention studies.
Published by Oxford University Press 2014.
Figures
 
              
              
              
              
                
                
                 
              
              
              
              
                
                
                 
              
              
              
              
                
                
                References
Publication types
MeSH terms
Grants and funding
LinkOut - more resources
- Full Text Sources
- Other Literature Sources
- Medical
 
        