Open total talus dislocation: a case report
- PMID: 25279062
- PMCID: PMC4093590
- DOI: 10.5704/MOJ.1207.009
Open total talus dislocation: a case report
Abstract
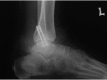
Abstract: Total talus dislocation is a rare injury and is commonly accompanied by associated fractures. Common worrisome sequelae are infection, avascular necrosis and post-traumatic arthritis. We report here on a patient who sustained an open total talus dislocation with an ipsilateral medial malleolus fracture. Following early debridement, reduction and a combination of internal and external fixations, early recovery was good with no evidence of avascular necrosis.
Key words: Total talus dislocation, avascular necrosis, infection, outcome.
Figures




References
-
- Leitner B. The mechanism of total dislocation of the talus. J Bone Joint Surg. 1955;37:89–95. - PubMed
-
- Hardy MA, Chuida S. Open Extrusion of the Talus: A case report. The Foot & Ankle Journal. 2008;(12):1–1.
-
- Kenwright J, Taylor RG. Major injuries of the talus. J Bone Joint Surg. 1970;52(B):36–48. - PubMed
-
- Bucholtz RW, Heckman JD, Court-Brown CM, Tornetta P. Rockwood & Green’s Fractures in Adults; 6th Edition. Lippincott William and Wilkins; 2006. pp. 2256–2257.
-
- Newcomb WJ, Bray EA. Complete dislocation of the talus. J Bone Joint Surg. 1948;30(A):872–874. - PubMed
LinkOut - more resources
Full Text Sources