Multiple fibromyxomas of the jaws: A case report
- PMID: 25279345
- PMCID: PMC4182359
- DOI: 10.5624/isd.2014.44.3.237
Multiple fibromyxomas of the jaws: A case report
Abstract
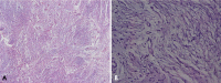
Fibromyxoma of the jaw is a rare benign mesenchymal odontogenic tumor with locally aggressive behavior. In the present report, a 13-year-old female patient presented to our university hospital with delayed eruption of some of her teeth. A panoramic radiograph taken at the initial examination revealed four pericoronal radiolucencies related to the four third molars. Thereafter, a magnetic resonance imaging (MRI) examination was performed. After the surgical removal of these molars, the microscopic examination diagnosed the four lesions as fibromyxomas. Here, we have discussed the clinical, panoramic radiography, MRI, and histopathological findings of the case.
Keywords: Fibroma, Jaw; Magnetic Resonance Imaging.
Figures





References
-
- Neville BW. Oral and maxillofacial pathology. 3rd ed. St. Louis: Saunders; 2009.
-
- Sivakumar G, Kavitha B, Saraswathi T, Sivapathasundharam B. Odontogenic myxoma of maxilla. Indian J Dent Res. 2008;19:62–65. - PubMed
-
- Allen PS. Fibromyxoma of the mandible: case report and radiographic considerations. J Am Dent Assoc. 1980;101:930–931. - PubMed
Publication types
LinkOut - more resources
Full Text Sources
Other Literature Sources