Skip to main page content
U.S. flag

An official website of the United States government

Dot gov

The .gov means it’s official.
Federal government websites often end in .gov or .mil. Before sharing sensitive information, make sure you’re on a federal government site.

Https

The site is secure.
The https:// ensures that you are connecting to the official website and that any information you provide is encrypted and transmitted securely.

Access keys NCBI Homepage MyNCBI Homepage Main Content Main Navigation
Observational Study
. 2014 Nov 18;83(21):1898-905.
doi: 10.1212/WNL.0000000000001002. Epub 2014 Oct 22.

Clinical spectrum of 4H leukodystrophy caused by POLR3A and POLR3B mutations

Collaborators, Affiliations
Observational Study

Clinical spectrum of 4H leukodystrophy caused by POLR3A and POLR3B mutations

Nicole I Wolf et al. Neurology. .

Abstract

Objective: To study the clinical and radiologic spectrum and genotype-phenotype correlation of 4H (hypomyelination, hypodontia, hypogonadotropic hypogonadism) leukodystrophy caused by mutations in POLR3A or POLR3B.

Methods: We performed a multinational cross-sectional observational study of the clinical, radiologic, and molecular characteristics of 105 mutation-proven cases.

Results: The majority of patients presented before 6 years with gross motor delay or regression. Ten percent had an onset beyond 10 years. The disease course was milder in patients with POLR3B than in patients with POLR3A mutations. Other than the typical neurologic, dental, and endocrine features, myopia was seen in almost all and short stature in 50%. Dental and hormonal findings were not invariably present. Mutations in POLR3A and POLR3B were distributed throughout the genes. Except for French Canadian patients, patients from European backgrounds were more likely to have POLR3B mutations than other populations. Most patients carried the common c.1568T>A POLR3B mutation on one allele, homozygosity for which causes a mild phenotype. Systematic MRI review revealed that the combination of hypomyelination with relative T2 hypointensity of the ventrolateral thalamus, optic radiation, globus pallidus, and dentate nucleus, cerebellar atrophy, and thinning of the corpus callosum suggests the diagnosis.

Conclusions: 4H is a well-recognizable clinical entity if all features are present. Mutations in POLR3A are associated with a more severe clinical course. MRI characteristics are helpful in addressing the diagnosis, especially if patients lack the cardinal non-neurologic features.

PubMed Disclaimer

Conflict of interest statement

N. Wolf serves as communicating editor of the Journal of Inherited Metabolic Disease and as editor for Neuropediatrics, both without payment. A. Vanderver has acted on an advisory board for Shire Pharmaceuticals as well as an unpaid consultant for Stem Cells Inc. R. van Spaendonk reports no disclosures relevant to the manuscript. R. Schiffmann has received honoraria and grant support from Shire and Amicus Therapeutics. B. Brais, M. Bugiani, E. Sistermans, C. Catsman-Berrevoets, J. Kros, and P.S. Pinto report no disclosures relevant to the manuscript. D. Pohl has received compensation from Biogen Idec, Merck Serono, Bayer Schering, Teva, and Sanofi-Aventis (speaker's honoraria and for serving on scientific advisory boards). S. Tirupathi, P. Strømme, T. de Grauw, S. Fribourg, M. Demos, A. Pizzino, S. Naidu, K. Guerrero, and M. van der Knaap report no disclosures relevant to the manuscript. G. Bernard has received compensation from Actelion Pharmaceuticals, Genzyme, Shire, and Santhera Pharmaceuticals (speaker's honoraria and for serving on scientific advisory boards). Go to Neurology.org for full disclosures.

Figures

Figure 1
Figure 1. Typical dental abnormalities
In the 2 youngest children (A: 4H-70, age 3 years; B: 4H-51, age 4 years), the most typical abnormality is the lack of the upper median deciduous incisors. In patient 4H-47 (age 7 years [C] and age 8 years [D]), the deciduous maxillary median incisors never erupted, but the permanent incisors did. In patient 4H-55, age 9 years (E, F), these teeth are still absent, and the permanent lower median incisors have only recently erupted. (G) In patient 4H-93 (age 19 years), the right upper median incisor never erupted. The right lateral median incisor is still a deciduous tooth, as is the left maxillary canine.
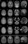
Figure 2
Figure 2. MRI changes with age
MRI of 4 patients with 4H syndrome at 6 (A–D, patient 4H-52, row 1), 12 (E–H, patient 4H-53, row 2), 23 (I–L, patient 4H-58, row 3), and 40 (M–P, patient 4H-94, row 4) years of age. The axial T2-weighted images all show diffusely elevated white matter signal, less hyperintense than CSF, consistent with hypomyelination. The signal of the optic radiations is hypointense, indicating myelination. In the youngest patient, there is a small hypointense dot in the posterior limb of the internal capsule (B). All patients show a relatively hypointense signal of the ventrolateral thalamus. The corpus callosum becomes thinner with age (sagittal T1 images, A, L, P, and sagittal T2 image, H). The sagittal images also demonstrate cerebellar atrophy. White matter signal of the middle cerebellar peduncles and the cerebellar white matter is too high on the T2-weighted images; the dentate nucleus appears hypointense as well as the dorsal tegmentum (C, G, K, O). (Q–T) MRI of patient 4H-45 homozygous for c.1586T>A (POLR3B) at age 16 years. Myelination of the perirolandic cortex and the parieto-occipital white matter is relatively good on these axial T2-weighted images, compared to the frontal white matter (Q, R, S). The splenium and the anterior limb of the internal capsule (R) as well as the optic radiations (S) are well-myelinated. There is a small lesion in the right optic radiation (R). No cerebellar atrophy is seen on the sagittal T1-weighted image (T).
Figure 3
Figure 3. Disease progression
Cumulative probability of age at onset, age at wheelchair dependence, and age at death in our patients' cohort. (A) Age at onset of the patients according to the mutated gene. Patients with POLR3B mutations have an earlier disease onset than patients with POLR3A mutations. Cumulative probability of (B) age at wheelchair dependence and (C) death in our patients' cohort.

Comment in

  • Little folks, little myelin, and little teeth.
    Willemsen MA, D'Arrigo S. Willemsen MA, et al. Neurology. 2014 Nov 18;83(21):1884-5. doi: 10.1212/WNL.0000000000001010. Epub 2014 Oct 22. Neurology. 2014. PMID: 25339215 No abstract available.

References

    1. Wolf NI, Harting I, Boltshauser E, et al. . Leukoencephalopathy with ataxia, hypodontia, and hypomyelination. Neurology 2005;64:1461–1464. - PubMed
    1. Timmons M, Tsokos M, Asab MA, et al. . Peripheral and central hypomyelination with hypogonadotropic hypogonadism and hypodontia. Neurology 2006;67:2066–2069. - PMC - PubMed
    1. Wolf NI, Harting I, Innes AM, et al. . Ataxia, delayed dentition and hypomyelination: a novel leukoencephalopathy. Neuropediatrics 2007;38:64–70. - PubMed
    1. Bernard G, Thiffault I, Tetreault M, et al. . Tremor-ataxia with central hypomyelination (TACH) leukodystrophy maps to chromosome 10q22.3-10q23.31. Neurogenetics 2010;11:457–464. - PMC - PubMed
    1. Bernard G, Chouery E, Putorti ML, et al. . Mutations of POLR3A encoding a catalytic subunit of RNA polymerase pol III cause a recessive hypomyelinating leukodystrophy. Am J Hum Genet 2011;89:415–423. - PMC - PubMed

Publication types

Supplementary concepts