Ameloblastoma in the Northeast region of Brazil: A review of 112 cases
- PMID: 25364183
- PMCID: PMC4211242
- DOI: 10.4103/0973-029X.141368
Ameloblastoma in the Northeast region of Brazil: A review of 112 cases
Abstract
Context: Ameloblastomas are benign tumors of the jaws with locally invasive capacity.
Aim: The aim of this study was to review 112 cases of ameloblastoma seen over an 18-year period (1992-2009) at the Pernambuco Dental School, University of Pernambuco and at Federal University of Sergipe, in the northeast region of Brazil.
Materials and methods: THE FOLLOWING DATA WERE SELECTED FOR ANALYSIS: age, gender, race, site distribution, radiographic appearance, association with an impacted tooth, size, presence of symptoms, clinicopathologic subtypes and recurrence.
Settings and design: In this retrospective study, Pearson's χ(2) test and t-test were employed. The critical level of significance was set at P < 0.05.
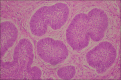
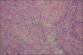
Results: The mean age of the patients at presentation was 35.1 ± 16.8 years with a slight female preference. The peak prevalence was in the 11- to 20-year age group and declined with increasing age. Total 75 patients were black and 37 were white, for a 2:1 black: white ratio. The location of the ameloblastomas showed a marked predominance in the mandible (84.8%) and 69% of the cases presented with a multilocular radiographic appearance. The tumor was associated with an embedded tooth in 14 cases (12.7%): nine unilocular and five multilocular ameloblastomas. The maximum radiological extension of the lesions on panoramic radiographs was 0.5-20 cm (mean ± SD: 5.2 ± 3.3 cm) and most cases were symptom-free (75.9%). Solid/multicystic ameloblastoma was the most common clinicopathologic subtype. There was an association between the clinicopathologic subtypes and radiographic appearance (P < 0.001). Recurrence was observed in 13.3% of cases.
Conclusion: We propose that racial factors may have strong influence on the incidence of ameloblastomas in the northeast region of Brazil, since most people have African descent. Data related to gender, location, radiographic appearance, size, symptoms, clinicopathologic subtypes and recurrence were similar to previous studies conducted in various parts of the world.
Keywords: Ameloblastoma; Brazilian; epidemiology; odontogenic tumors.
Conflict of interest statement
Figures
References
-
- Olaitan AA, Adeola DS, Adekeye EO. Ameloblastoma: Clinical features and management of 315 cases from Kaduna, Nigeria. J Craniomaxillofac Surg. 1993;21:351–5. - PubMed
-
- Ghandhi D, Ayoub AF, Pogrel MA, MacDonald G, Brocklebank LM, Moos KF. Ameloblastoma: A surgeon's dilemma. J Oral Maxillofac Surg. 2006;64:1010–4. - PubMed
-
- El-Mofty SK, Gerard NO, Farish SE, Rodu B. Peripheral ameloblastoma: A clinical and histologic study of 11 cases. J Oral Maxillofac Surg. 1991;49:970–4. - PubMed
-
- Vasconcellos RJ, Santos TS, Vajgel AF, Bezerra TP, Martins VB, Andrade ES. A recurrence of intra-osseous ameloblastoma in soft tissue. Int J Odontostomatol. 2009;3:145–8.
-
- Philipsen HP, Reichart PA. Unicystic ameloblastoma. A review of 193 cases from the literature. Oral Oncol. 1998;34:317–25. - PubMed
LinkOut - more resources
Full Text Sources
Other Literature Sources
