Curative resection of gallbladder cancer with liver invasion and hepatic metastasis after chemotherapy with gemcitabine plus S-1: report of a case
- PMID: 25367161
- PMCID: PMC4226861
- DOI: 10.1186/1477-7819-12-326
Curative resection of gallbladder cancer with liver invasion and hepatic metastasis after chemotherapy with gemcitabine plus S-1: report of a case
Abstract
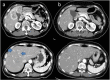
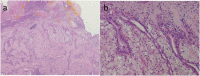
A 62-year-old woman diagnosed with gallbladder cancer exhibiting broad liver invasion and metastasis to Couinaud's hepatic segments 4 and 8 (S4 and S8) consulted her regular doctor. Owing to the presence of liver metastases, she received treatment with gemcitabine plus S-1. After four cycles of chemotherapy, the size of the main lesion dramatically decreased and the two liver metastases disappeared. After six cycles of chemotherapy, the patient was referred to our hospital for surgical treatment. Upon admission, there was no evidence of any distant metastasis, based on a detailed radiological examination. Therefore, we performed cholecystectomy and central bisegmentectomy of the liver after obtaining the patient's informed consent. Pathological examination demonstrated viable cancer cells with granuloma formation and calcification in the gallbladder, as well as regenerative changes without viable cancer cells in S4 and S8 of the liver. Gemcitabine plus S-1 was again administered as postoperative adjuvant chemotherapy. One and a half years after the surgery, there were no signs of recurrence. In patients selected according to their response to chemotherapy, surgical treatment might therefore be effective against gallbladder cancer with metastasis.
Figures



References
-
- Sasaki T, Isayama H, Nakai Y, Ito Y, Kogure H, Togawa O, Toda N, Yasuda I, Hasebe O, Maetani I, Sasahira N, Hirano K, Tsujino T, Tada M, Omata M. Multicenter, phase II study of gemcitabine and S-1 combination chemotherapy in patients with advanced biliary tract cancer. Cancer Chemother Pharmacol. 2010;65:1101–1107. doi: 10.1007/s00280-009-1115-5. - DOI - PubMed
-
- Matsuda T, Shikata S, Minato H, Aikawa I. Two cases of advanced biliary tract cancer successfully treated with gemcitabine combination chemotherapy. Gan To Kagaku Ryoho. 2008;35:1779–1782. - PubMed
Publication types
MeSH terms
Substances
LinkOut - more resources
Full Text Sources
Other Literature Sources
Medical