Association between cardiothoracic ratio, left ventricular size and systolic function in patients undergoing computed tomography coronary angiography
- PMID: 25371728
- PMCID: PMC4217771
- DOI: 10.3892/etm.2014.2016
Association between cardiothoracic ratio, left ventricular size and systolic function in patients undergoing computed tomography coronary angiography
Abstract
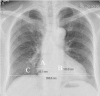
The present study aimed to investigate the association between cardiothoracic ratio (CTR) and left ventricular (LV) systolic function parameters in patients with or without preserved LV ejection fraction (LVEF). A total of 203 subjects suspected with coronary artery disease underwent chest radiography and dual source computed tomography coronary angiography (DSCT-CA). The LV systolic function parameters: LV end-diastolic volume index (LVEDVI), LV end-systolic volume index (LVESVI), and LVEF were measured from the DSCT-CA. The association between CTR and LV systolic function parameters was analyzed according to LVEF value (<55%, depressed LVEF group; versus ≥55%, preserved LVEF group) and CTR value (<0.5, normal range CTR group; versus ≥0.5, larger CTR group). The LVEDVI and LVESVI were higher in the depressed LVEF group compared with the preserved LVEF group (108.56±57.15 vs. 67.52±14.56 ml/m2, P<0.001; and 64.07±37.81 vs. 20.23±7.23 ml/m2, P<0.001, respectively) and lower in the normal range CTR group compared with the larger CTR group (67.10±15.00 vs. 77.30±34.32 ml/m2, P=0.009 and 21.94±8.96 vs. 28.97±26.54 ml/m2, P=0.017, respectively). Significant correlations were found between CTR and LVEDVI, and LVESVI and LVEF in the depressed LVEF group (r=0.66, P<0.001; r=0.65, P<0.001; and r=-0.46, P=0.018, respectively). However, there was no significant association detected between CTR and LV systolic function parameters in the other subgroups. The LVEDVI and LVESVI showed an inverse correlation with the LVEF in each group. Although the CTR was not a reliable indicator of LV size and systolic function in patients with preserved LVEF, it was correlated with LV size and LVEF in patients with depressed LVEF.
Keywords: cardiothoracic ratio; chest radiography; dual source computed tomography; left ventricular systolic function; left ventricular volume index.
Figures


References
-
- Guidelines for the evaluation and management of heart failure. Report of the American College of Cardiology/American Heart Association Task Force on Practice Guidelines (Committee on Evaluation and Management of Heart Failure) Circulation. 1995;92:2764–2784. No authors listed. - PubMed
-
- Goldsmith SR, Dick C. Differentiating systolic from diastolic heart failure: pathophysiologic and therapeutic considerations. Am J Med. 1993;95:645–655. - PubMed
-
- Cohn JN, Rector TS. Prognosis of congestive heart failure and predictors of mortality. Am J Cardiol. 1988;62:25A–30A. - PubMed
-
- Keogh AM, Baron DW, Hickie JB. Prognostic guides in patients with idiopathic or ischemic dilated cardiomyopathy assessed for cardiac transplantation. Am J Cardiol. 1990;65:903–908. - PubMed
-
- Cintron G, Johnson G, Francis G, Cobb F, Cohn JN. Prognostic significance of serial changes in left ventricular ejection fraction in patients with congestive heart failure. The V-HeFT VA Cooperative Studies Group. Circulation. 1993;87:VI17–VI23. - PubMed
LinkOut - more resources
Full Text Sources
Other Literature Sources