Significance and management of positive surgical margins at the time of radical prostatectomy
- PMID: 25378825
- PMCID: PMC4220383
- DOI: 10.4103/0970-1591.134240
Significance and management of positive surgical margins at the time of radical prostatectomy
Abstract
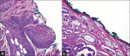
Positive surgical margins (PSM) at the time of radical prostatectomy (RP) result in an increased risk of biochemical recurrence (BCR) and secondary treatment. We review current literature with a focus on stratifying the characteristics of the PSM that may define its significance, the impact of modern imaging and surgical approaches in avoidance of PSM, and management strategies when PSM do occur. We performed a review of the available literature to identify factors associated with PSM and their management. PSM have been repeatedly demonstrated to be associated with an increased risk of BCR following RP. The specific characteristics (size, number, location, Gleason score at the margin) of the PSM may influence the risk of recurrence. Novel imaging and surgical approaches are being investigated and may allow for reductions of PSM in the future. The use of adjuvant treatment for a PSM remains controversial and should be decided on an individual basis after a discussion about the risks and benefits. The goal of RP is complete resection of the tumor. PSM are associated with increased risk of BCR and secondary treatments. Of the risk factors associated with BCR after RP, a PSM is directly influenced by surgical technique.
Keywords: Biochemical recurrence; prostate cancer; radical prostatectomy; robotic; surgical margin.
Conflict of interest statement
Figures


References
-
- Eastham JA, Kuroiwa K, Ohori M, Serio AM, Gorbonos A, Maru N, et al. Prognostic significance of location of positive margins in radical prostatectomy specimens. Urology. 2007;70:965–9. - PubMed
-
- Eastham JA, Kattan MW, Riedel E, Begg CB, Wheeler TM, Gerigk C, et al. Variations among individual surgeons in the rate of positive surgical margins in radical prostatectomy specimens. J Urol. 2003;170:2292–5. - PubMed
-
- Karakiewicz PI, Eastham JA, Graefen M, Cagiannos I, Stricker PD, Klein E, et al. Prognostic impact of positive surgical margins in surgically treated prostate cancer: Multi-institutional assessment of 5831 patients. Urology. 2005;66:1245–50. - PubMed
-
- Shah SK, Fleet TM, Williams V, Smith AY, Skipper B, Wiggins C. SEER coding standards result in underestimation of positive surgical margin incidence at radical prostatectomy: Results of a systematic audit. The Journal of urology. 2011;186:855–9. - PubMed
LinkOut - more resources
Full Text Sources
Other Literature Sources
Miscellaneous