Successful therapy of progressive rhino-orbital mucormycosis caused by Rhizopus arrhizus with combined and sequential antifungal therapy, surgery and hyperbaric therapy
- PMID: 25383316
- PMCID: PMC4223823
- DOI: 10.1016/j.mmcr.2014.09.004
Successful therapy of progressive rhino-orbital mucormycosis caused by Rhizopus arrhizus with combined and sequential antifungal therapy, surgery and hyperbaric therapy
Abstract
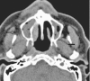
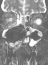
We present a case of rhino-orbitary mucormycosis which progressed despite liposomal amphotericin and early surgical debridement. Combined echinocandin and high dose liposomal amphotericin, repeated debridement, prolonged therapy with hyperbaric oxygen and continued therapy with posaconazole, along with strict diabetic control, allowed cure without disfigurement.
Keywords: Amphotericin B; Diabetes mellitus; Hyperbaric oxygen; Posazonale; Rhizopus arrhizu; Zygomycosis.
Figures






References
-
- de Hoog GS, Guarro J, Gené J, Figueras MJ. Atlas of Clinical Fungo USB version. CBS-KNAW Fungal Biodiversity Centre and University Rovira i Virgili; 2014.
-
- Petrikkos G., Skiada A., Lortholary O., Roilides E., Walsh T.J., Kontoyiannis D.P. Epidemiology and clinical manifestations of mucormycosis. Clin Infect Dis. 2012;54(Suppl. 1):S23–S34. - PubMed
-
- Bonifaz A., Tirado-Sanchez A., Calderon L., Romero-Cabello R., Kassack J., Ponce R.M. Mucormycosis in children: a study of 22 cases in a Mexican hospital. Mycoses. 2014 - PubMed
-
- Kontoyiannis D.P., Lewis R.E. Invasive zygomycosis: update on pathogenesis, clinical manifestations, and management. Infect Dis Clin North Am. 2006;20(3):581–607. (vi) - PubMed
-
- Prasad K., Lalitha R.M., Reddy E.K., Ranganath K., Srinivas D.R., Singh J. Role of early diagnosis and multimodal treatment in rhinocerebral mucormycosis: experience of 4 cases. J Oral Maxillofac Surg. 2012;70(2):354–362. - PubMed
LinkOut - more resources
Full Text Sources
Other Literature Sources