Epstein-barr virus in gastric carcinoma
- PMID: 25386788
- PMCID: PMC4276965
- DOI: 10.3390/cancers6042259
Epstein-barr virus in gastric carcinoma
Abstract
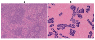
The Epstein-Barr virus (EBV) is detected in about 10% of gastric carcinoma cases throughout the world. In EBV-associated gastric carcinoma, all tumor cells harbor the clonal EBV genome. Gastric carcinoma associated with EBV has distinct clinicopathological features, occurs predominately in men and in younger-aged individuals, and presents a generally diffuse histological type. Most cases of EBV-associated gastric carcinoma exhibit a histology rich in lymphocyte infiltration. The immunological reactiveness in the host may represent a relatively preferable prognosis in EBV-positive cases. This fact highlights the important role of EBV in the development of EBV-associated gastric carcinoma. We have clearly proved direct infection of human gastric epithelialcells by EBV. The infection was achieved by using a recombinant EBV. Promotion of growth by EBV infection was observed in the cells. Considerable data suggest that EBV may directly contribute to the development of EBV-associated GC. This tumor-promoting effect seems to involve multiple mechanisms, because EBV affects several host proteins and pathways that normally promote apoptosis and regulate cell proliferation.
Figures



References
-
- Zur Hausen H., Schulte-Holthausen H., Klein G., Henle W., Henle G., Clifford P., Santesson L. EBV DNA in biopsies of Burkitt tumours and anaplastic carcinomas of the nasopharynx. Nature. 1970;228:1056–1058. - PubMed
-
- Young L., Alfieri C., Hennessy K., Evans H., O’Hara C., Anderson K.C., Ritz J., Shapiro R.S., Rickinson A., Kieff E., et al. Expression of Epstein-Barr virus transformation-associated genes in tissues of patients with EBV lymphoproliferative disease. N. Engl. J. Med. 1989;321:1080–1085. - PubMed
-
- Rickinson A.B., Kieff E. Epstein-Barr virus. In: Fields B.N., Knipe D.M., Howley P.M., editors. Fields Virology. 5th ed. Lippincott-Williams & Wilkins; Philadelphia, PA, USA: 2007. pp. 2655–2700.
-
- Burke A.P., Yen T.S., Shekitka K.M., Sobin L.H. Lymphoepithelial carcinoma of the stomach with Epstein-Barr virus demonstrated by polymerase chain reaction. Mod. Pathol. 1990;3:377–380. - PubMed
Publication types
LinkOut - more resources
Full Text Sources
Other Literature Sources
Medical
Miscellaneous