Hailey-Hailey disease associated with herpetic eczema-the value of the Tzanck smear test
- PMID: 25396081
- PMCID: PMC4230254
- DOI: 10.5826/dpc.0404a04
Hailey-Hailey disease associated with herpetic eczema-the value of the Tzanck smear test
Abstract
Background: Herpetic eczema is a herpetic superinfection of a preexisting skin disease. Hailey-Hailey disease is an autosomal dominant dermatosis that is clinically characterized by flaccid vesicles and rashes in intertriginous areas. The coexistence of those findings is a rare condition; only five cases have been published in literature.
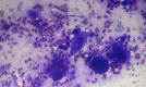
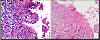
Purpose: To report the rare coexistence between Hailey-Hailey disease and herpetic eczema and to highlight the importance of cytology for a quick diagnosis.
Case report: A 38-year-old man had been diagnosed with Hailey-Hailey disease for 13 years. His condition evolved into what could be herpetic eczema, which was later confirmed by skin cytology and histopathology. The man showed remission in the infection after 10 days under treatment with acyclovir.
Conclusion: Research on the concomitance of infection by the herpes virus must be performed in the exacerbations of Hailey-Hailey disease, and, in those situations, the quick diagnosis through skin cytology makes the early treatment possible.
Keywords: Hailey-Hailey disease; Kaposi varicelliform eruption; benign familial pemphigus.
Figures




References
-
- Olson J, Robles DT, Kirby P, Colven R. Kaposi varicelliform eruption (eczema herpeticum) 2008;14:18. - PubMed
-
- Ruocco E, Brunetti G, Del Vecchio M, Ruocco V. The practical use of cytology for diagnosis in dermatology. JEADV. 2011;25:125–9. - PubMed
-
- Berger EM, Galadari HI, Gottlieb AB. Successful treatment of Hailey-Hailey disease with acitretin. J Drugs Dermatol. 2007;6:734–6. - PubMed
-
- Wollenberg A, Zoch C, Wetzel S, Plewig G, Przybilla B. Predisposing factors and clinical features of eczema herpeticum: a retrospective analysis of 100 cases. J Am Acad Dermatol. 2003;49:198–205. - PubMed
LinkOut - more resources
Full Text Sources
Other Literature Sources