Clinicopathologic characteristics and outcomes of histiocytic and dendritic cell neoplasms: the moffitt cancer center experience over the last twenty five years
- PMID: 25405526
- PMCID: PMC4276966
- DOI: 10.3390/cancers6042275
Clinicopathologic characteristics and outcomes of histiocytic and dendritic cell neoplasms: the moffitt cancer center experience over the last twenty five years
Abstract
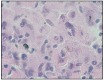
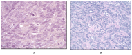
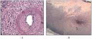
Neoplasms of histiocytic and dendritic cells are rare disorders of the lymph node and soft tissues. Because of this rarity, the corresponding biology, prognosis and terminologies are still being better defined and hence historically, these disorders pose clinical and diagnostic challenges. These disorders include Langerhans cell histiocytosis (LCH), histiocytic sarcoma (HS), follicular dendritic cell sarcoma (FDCS), interdigtating cell sarcoma (IDCS), indeterminate cell sarcoma (INDCS), and fibroblastic reticular cell tumors (FRCT). In order to gain a better understanding of the biology, diagnosis, and treatment in these rare disorders we reviewed our cases of these neoplasms over the last twenty five years and the pertinent literature in each of these rare neoplasms. Cases of histiocytic and dendritic cell neoplasms diagnosed between 1989-2014 were identified using our institutional database. Thirty two cases were included in this analysis and were comprised of the following: Langerhans cell histiocytosis (20/32), histiocytic sarcoma (6/32), follicular dendritic cell sarcoma (2/32), interdigitating dendritic cell sarcoma (2/32), indeterminate dendritic cell sarcoma (1/32), and fibroblastic reticular cell tumor (1/32). Median overall survival was not reached in cases with LCH and showed 52 months in cases with HS, 12 months in cases with FDCS, 58 months in cases with IDCS, 13 months in the case of INDCS, and 51 months in the case of FRCT. The majority of patients had surgical resection as initial treatment (n = 18). Five patients had recurrent disease. We conclude that histiocytic and dendritic cell neoplasms are very rare and perplexing disorders that should be diagnosed with a combination of judicious morphology review and a battery of immunohistochemistry to rule out mimics such as carcinoma, lymphoma, neuroendocrine tumors and to better sub-classify these difficult to diagnose lesions. The mainstay of treatment for localized disease remains surgical resection and the role of adjuvant therapy is unclear. In patients with multiple areas of involvement, treatment at tertiary care centers with multimodality treatment is likely needed. Accurate subset diagnosis will contribute to better data as well as treatment outcomes analysis of these rare disorders of adult patients in the future.
Figures





References
-
- Shao H., Xi L., Raffeld M., Feldman A.L., Ketterling R.P., Knudson R., Rodriguez-Canales J., Hanson J., Pittaluga S., Jaffe E.S. Clonally related histiocytic/dendritic cell sarcoma and chronic lymphocytic leukemia/small lymphocytic lymphoma: A study of seven cases. Mod. Pathol. 2011;24:1421–1432. doi: 10.1038/modpathol.2011.102. - DOI - PMC - PubMed
-
- International Agency for Research on Cancer . Who Classification of Tumours of Haematopoietic and Lymphoid Tissues. Lyon, France: 2008.
-
- Pileri S.A., Grogan T.M., Harris N.L., Banks P., Campo E., Chan J.K., Favera R.D., Delsol G., de Wolf-Peeters C., Falini B., et al. Tumours of histiocytes and accessory dendritic cells: An immunohistochemical approach to classification from the international lymphoma study group based on 61 cases. Histopathology. 2002;41:1–29. doi: 10.1046/j.1365-2559.2002.01418.x. - DOI - PubMed
-
- Girschikofsky M., Arico M., Castillo D., Chu A., Doberauer C., Fichter J., Haroche J., Kaltsas G.A., Makras P., Marzano A.V., et al. Management of adult patients with Langerhans cell histiocytosis: Recommendations from an expert panel on behalf of EURO-HISTIO-NET. Orphanet J. Rare Dis. 2013 doi: 10.1186/1750-1172-8-7. - DOI - PMC - PubMed
LinkOut - more resources
Full Text Sources
Other Literature Sources