Treatment of gummy smile: Gingival recontouring with the containment of the elevator muscle of the upper lip and wing of nose. A surgery innovation technique
- PMID: 25425832
- PMCID: PMC4239760
- DOI: 10.4103/0972-124X.142468
Treatment of gummy smile: Gingival recontouring with the containment of the elevator muscle of the upper lip and wing of nose. A surgery innovation technique
Abstract
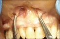
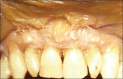
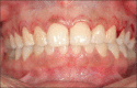
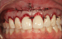
The containment of the elevator muscle of the upper lip and wing of nose was used for the treatment of patients with gummy smile. This technique had corrected esthetic alterations of smile, reducing the upper lip elevation, which results in a smaller gingival display. An upper lip lengthening as well as a reduction in the upper lip shortening when the patient smiled could be observed. The high smile line was corrected without compromising the labial harmony. This study presents an innovative and effective therapeutic option to obtain a natural and harmonious smile. The patient expressed a high degree of satisfaction.
Keywords: Esthetics; gingival recontouring; gummy smile; smile esthetics.
Conflict of interest statement
Figures












References
-
- Garber DA, Salama MA. The aesthetic smile: Diagnosis and treatment. Periodontol 2000. 1996;11:18–28. - PubMed
-
- Kokich VO, Jr, Kiyak HA, Shapiro PA. Comparing the perception of dentists and laypeople to altered dental esthetics. J Esthet Dent. 1999;11:311–24. - PubMed
-
- Levine RA, McGuire M. The diagnosis and treatment of the gummy smile. Compend Contin Educ Dent. 1997;18:757–62. - PubMed
-
- Wennström JL, Zucchelli G, Pini Prato GP. Clinical Periodontology and Implant Dentistry. 5th ed. Oxford: Blackwell Munksgaard; 2008. Mucogingival Therapy – Periodontal Plastic Surgery; pp. 955–1028.
-
- Dong JK, Jin TH, Cho HW, Oh SC. The esthetics of the smile: A review of some recent studies. Int J Prosthodont. 1999;12:9–19. - PubMed
Publication types
LinkOut - more resources
Full Text Sources
Other Literature Sources