Bilateral mobile thoracolithiasis
- PMID: 25426246
- PMCID: PMC4242122
- DOI: 10.3941/jrcr.v8i9.1932
Bilateral mobile thoracolithiasis
Abstract
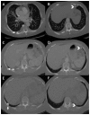
Thoracolithiasis is the presence of one or more freely mobile pleural stones (with or without calcification) in the pleural space. They occur with a reported incidence of less than 0.1% and are benign and do not require intervention. Historically, they have led to unnecessary interventions - something unlikely in the era of multidetector computed tomography (CT). Thoracolithiasis should be included in the differential diagnosis of a single or multiple, mobile peripheral pulmonary nodules. Here, we review the imaging characteristics of a rare case of bilateral mobile thoracolithiasis.
Keywords: Thoracolithiasis; bilateral; pleural calcification; pleural stone; thoracic disease.
Figures


References
-
- Kinoshita F, Saida Y, Okajima Y, et al. Thoracolithiasis: 11 cases with a calcified intrapleural loose body. J Thorac Imaging. 2010;25:64–7. - PubMed
-
- Dias AR, Zerbini EJ, Curi N. Pleural stone a case report. J Thorac Cardiovasc Surg. 1968;56:120–2. - PubMed
-
- Puengjesada S, Gupta P, Mottershaw AM. Thoracolithiasis: a case report. Clinical Imaging. 2012:228–30. - PubMed
-
- Kosaka S, Kondo N, Sakaguchi H, et al. Thoracolithiasis. Japanese J Thorac Cardiovasc Surg. 2000;48(5):318–21. - PubMed
-
- Tanaka D, Niwatsukino H, Fujiyoshi F, et al. Thoracolithiasis-a mobile calcified nodule in the intrathoracic space: radiographic, CT and MRI findings. Radiat Med. 2002;20(3):131–3. - PubMed
Publication types
MeSH terms
LinkOut - more resources
Full Text Sources
Other Literature Sources
Medical