A Case of Reticulate Acropigmentation of Kitamura Treated with 532-nm Q-Switched Nd:YAG Laser: 10 Years of Follow-Up Observation
- PMID: 25473245
- PMCID: PMC4252690
- DOI: 10.5021/ad.2014.26.6.783
A Case of Reticulate Acropigmentation of Kitamura Treated with 532-nm Q-Switched Nd:YAG Laser: 10 Years of Follow-Up Observation
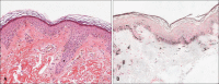
Figures


References
-
- Kitamura K, Akamatsu S, Hirokawa K. A special form of acropigmentation: acropigmentation reticularis. Hautarzt. 1953;4:152–156. - PubMed
-
- Griffiths WA. Reticulate acropigmentation of Kitamura. Br J Dermatol. 1976;95:437–443. - PubMed
-
- Gatti S, Nini G. Treatment of reticulate acropigmentation of Kitamura with azelaic acid. J Am Acad Dermatol. 1993;29:666–667. - PubMed
-
- Fahad AS, Al Shahwan H, Bin Dayel S. Treatment of reticulated acropigmentation of Kitamura with Q-switched alexandrite laser. Int J Dermatol. 2011;50:1150–1152. - PubMed
LinkOut - more resources
Full Text Sources
Other Literature Sources