A Case of Segniliparus rugosus Pulmonary Infection in an Immunocompetent Patient with Non-cystic Fibrosis
- PMID: 25473412
- PMCID: PMC4250924
- DOI: 10.4046/trd.2014.77.5.227
A Case of Segniliparus rugosus Pulmonary Infection in an Immunocompetent Patient with Non-cystic Fibrosis
Abstract
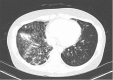
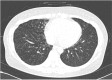
Segniliparus species is a novel genus that is reported to be the new emerging respiratory pathogens. Here, we report a very rare case of S. rugosus pulmonary infection in an immunocompetent patient with non-cystic fibrosis. The organism was identified by 16S rRNA gene sequencing. The patient was successfully treated with antibiotics.
Keywords: Nontuberculous Mycobacteria; RNA Sequencing; Respiratory Tract Infections.
Conflict of interest statement
No potential conflict of interest relevant to this article was reported.
Figures



References
-
- Butler WR, Floyd MM, Brown JM, Toney SR, Daneshvar MI, Cooksey RC, et al. Novel mycolic acid-containing bacteria in the family Segniliparaceae fam. nov., including the genus Segniliparus gen. nov., with descriptions of Segniliparus rotundus sp. nov. and Segniliparus rugosus sp. nov. Int J Syst Evol Microbiol. 2005;55(Pt 4):1615–1624. - PubMed
-
- Choi SM, Kang HJ, Jeong YJ, Lim JH, Choe WS, Hwang SH, et al. First isolation of Segniliparus rugosus from a patient with radiologic features similar to non-tuberculous mycobacteriosis. Tuberc Respir Dis. 2012;72:82–87.
LinkOut - more resources
Full Text Sources
Other Literature Sources