Osteomyelitis pubis: a rare and elusive diagnosis
- PMID: 25493141
- PMCID: PMC4251242
- DOI: 10.5811/westjem.2014.8.13401
Osteomyelitis pubis: a rare and elusive diagnosis
Abstract
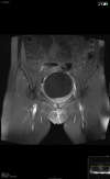
Osteomyelitis pubis is an infectious inflammation of the symphysis pubis and accounts for 2% of hematogenous osteomyelitis. This differs from osteitis pubis, a non-infectious inflammation of the pubic symphysis, generally caused by shear forces in young athletes. Both conditions present with similar symptoms and are usually differentiated on the basis of biopsy and/or culture. A case of osteomyelitis pubis is presented with a discussion of symphisis pubis anatomy, clinical and laboratory presentation, etiology and risk factors, and optimal imaging studies.
Figures
References
-
- McHenry MC, Alfidi RJ, Wilde AH, et al. Hematogenous osteomyelitis; a changing disease. Clev Clinic Q. 1975;42:125–53. - PubMed
-
- Bouza E, Winston DJ, Hewitt WL. Infectious osteitis pubis. Urology. 1978;12:663–9. - PubMed
-
- Lupovitch A, Elie JC, Wysocki R. Diagnosis of acute bacterial osteomyelitis of the pubis by means of fine needle aspiration. Acta Cytol. 1989;33:649–51. - PubMed
-
- Gamble JG, Simmons SC, Freedman M. The symphysis pubis. Anatomic and pathologic considerations. Clin Orthop. 1986;203:261–72. - PubMed
Publication types
MeSH terms
LinkOut - more resources
Full Text Sources
Other Literature Sources
Medical
