Intracranial pseudoaneurysm after intracranial pressure monitor placement
- PMID: 25498805
- PMCID: PMC4267071
- DOI: 10.1136/bcr-2014-011410
Intracranial pseudoaneurysm after intracranial pressure monitor placement
Abstract
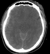
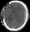
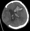
Traumatic intracranial pseudoaneurysms are a rare but severe complication following arterial injury. Pseudoaneurysm formation can occur secondary to blunt or penetrating trauma or iatrogenic injury. We report a case of traumatic pseudoaneurysm secondary to placement of an intracranial pressure (ICP) monitor. A 27-year-old man was involved in a motorcycle accident resulting in multiple intracranial hemorrhages. The patient underwent craniectomy and placement of an ICP monitor. 17 days later he developed dilation of his left pupil, with imaging demonstrating a new hemorrhage in the vicinity of the previous ICP monitor. A cerebral angiogram confirmed a left-sided distal M4 pseudoaneurysm which was treated by n-butyl cyanoacrylate embolization. Intracranial pseudoaneurysm formation following neurosurgical procedures is uncommon. Delayed intracranial hemorrhage in a region of prior intracranial manipulation, even following a procedure as 'routine' as placement of an ICP monitor, should raise the suspicion for this rare but potentially lethal complication.
Keywords: Aneurysm; Complication; Hemorrhage; Intracranial Pressure; Vessel Wall.
2014 BMJ Publishing Group Ltd.
Figures







References
-
- Le H, Munshi I, Macdonald RL et al. . Traumatic aneurysm resulting from insertion of an intracranial pressure monitor. Case illustration. J Neurosurg 2001;95:720. - PubMed
-
- Lim J, Suh SH, Lee KY et al. . Endovascular treatment of iatrogenic intracranial pseudoaneurysm following stent angioplasty. J Neuroimaging 2012;22:194–6. - PubMed
-
- Rayes M, Bahgat DA, Kupsky WJ et al. . Middle cerebral artery pseudoaneurysm formation following stereotactic biopsy. Can J Neurol Sci 2008;35:664–8. - PubMed
-
- Blei AT, Olafsson S, Webster S et al. . Complications of intracranial pressure monitoring in fulminant hepatic failure. Lancet 1993;341:157–8. - PubMed
Publication types
MeSH terms
LinkOut - more resources
Full Text Sources
Other Literature Sources