C60 fullerene as synergistic agent in tumor-inhibitory Doxorubicin treatment
- PMID: 25504158
- PMCID: PMC4269825
- DOI: 10.1007/s40268-014-0074-4
C60 fullerene as synergistic agent in tumor-inhibitory Doxorubicin treatment
Abstract
Background: Doxorubicin (Dox) is one of the most potent anticancer drugs, but its successful use is hampered by high toxicity caused mainly by generation of reactive oxygen species. One approach to protect against Dox-dependent chemical insult is combined use of the cytostatic drug with antioxidants. C60 fullerene has a nanostructure with both antioxidant and antitumor potential and may be useful in modulating cell responses to Dox.
Objective: The aim of this study was to estimate the antitumor effect and antioxidant enzyme activity of combined C60 fullerene and Dox (C60 + Dox) in the liver and heart of mice with Lewis lung carcinoma compared with Dox treatment alone.
Methods: Highly stable pristine C60 fullerene aqueous colloid solution (concentration 1.0 mg/ml, average hydrodynamic diameter of nanoparticles 50 nm) was used in the study and characterized by means of atomic force microscopy (AFM). The in vivo investigation of C60-Dox action was performed via the standard methods of histological and enzyme activity analyses.
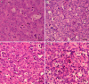
Results: Dox (total dose 2.5 mg/kg) combined with C60 fullerene (total dose 25 mg/kg) in tumor-bearing animals resulted in tumor growth inhibition, prolongation of life, metastasis inhibition, and increased number of apoptotic tumor cells and was more effective than the corresponding course of Dox treatment alone. C60 fullerene demonstrated a protective effect against superoxide dismutase and glutathione peroxidase inhibition induced by Dox-dependent oxidative insult in the liver and heart.
Conclusion: Combined treatment with C60 + Dox is considered to be a promising approach for cancer chemotherapy.
Figures





References
-
- De Vita VT, Hellman S, Rosenberg SA. Principles and practice of oncology. 6. Philadelphia: Lippincott Williams and Wilkins; 2001. pp. 1126–1161.
-
- Injac R, Perse M, Cerne M, Potocnik N, Radic N, Govedarica B, Djordjevic A, Cerar A, Strukelj B. Protective effects of fullerenol C60(OH)24 against doxorubicin-induced cardiotoxicity and hepatotoxicity in rats with colorectal cancer. Biomaterials. 2009;30:1184–1196. doi: 10.1016/j.biomaterials.2008.10.060. - DOI - PubMed
-
- Prylutska SV, Burlaka AP, Prylutskyy YuI, Ritter U, Scharff P. Pristine C60 fullerenes inhibit the rate of tumor growth and metastasis. Exp Oncol. 2011;33:162–164. - PubMed
Publication types
MeSH terms
Substances
LinkOut - more resources
Full Text Sources
Other Literature Sources
Medical
Miscellaneous