PML-IRIS during Fingolimod Diagnosed after Natalizumab Discontinuation
- PMID: 25506447
- PMCID: PMC4258922
- DOI: 10.1155/2014/307872
PML-IRIS during Fingolimod Diagnosed after Natalizumab Discontinuation
Abstract
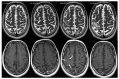
Background. Natalizumab treatment is frequently discontinued and replaced by alternative medication in multiple sclerosis (MS) patients having a high risk of progressive multifocal leukoencephalopathy (PML). Case Presentation. We report a PML case that was missed on magnetic resonance imaging (MRI) at the time Natalizumab treatment was discontinued. The patient subsequently developed a PML-immune reconstitution inflammatory syndrome after the initiation of Fingolimod treatment, suggesting that immune reconstitution may occur even during Fingolimod induced lymphopenia. Conclusion. This report highlights the need for strict drug surveillance using MRI of Natalizumab-associated MS patients at the time of drug discontinuation and beyond. This is important with respect to pharmacovigilance purposes not only for Natalizumab, but also for alternative drugs used after Natalizumab discontinuation.
Figures
References
-
- Bloomgren G., Richman S., Hotermans C., Subramanyam M., Goelz S., Natarajan A., Lee S., Plavina T., Scanlon J. V., Sandrock A., Bozic C. Risk of natalizumab-associated progressive multifocal leukoencephalopathy. The New England Journal of Medicine. 2012;366(20):1870–1880. doi: 10.1056/NEJMoa1107829. - DOI - PubMed
-
- Cohen M., Maillart E., Tourbah A., De Sèze J., Vukusic S., Brassat D., Anne O., Wiertlewski S., Camu W., Courtois S., Ruet A., Debouverie M., Le Page E., Casez O., Heinzlef O., Stankoff B., Bourre B., Castelnovo G., Rico A., Berger E., Camdessanche J.-P., Defer G., Clavelou P., Al Khedr A., Zephir H., Fromont A., Papeix C., Brochet B., Pelletier J., Lebrun C., Barth P., Blanc F., Boulay C., Chambaud L., Collongues N., Coustans M., Creange A., Derouiche F., Edan G., Fleury M., Gout O., Guennoc A. M., Kopf A., Labauge P., Lallement F., Laplaud D., Louiset P., Malikova I., Moreau T., Ouallet J. C., Pittion S., Rouhart F., Rumbach L., Seeldrayers P., Taithe F., Taurin G., Thouvenot E., Vermersch P., Zaenker C. Switching from natalizumab to fingolimod in multiple sclerosis: a French prospective study. JAMA Neurology. 2014;71(4):436–441. doi: 10.1001/jamaneurol.2013.6240. - DOI - PubMed
LinkOut - more resources
Full Text Sources
Other Literature Sources
