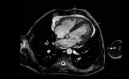
Case of fatal heart failure with biventricular noncompaction, genital skeletal abnormalities and mental retardation
- PMID: 25550252
- PMCID: PMC5336904
- DOI: 10.5152/akd.2014.5722
Case of fatal heart failure with biventricular noncompaction, genital skeletal abnormalities and mental retardation
Figures



Comment in
-
Noncompaction with dysmorphism, mental retardation, general wasting, and hypogonadism requires neurologic and sophisticated cytogenetic investigations.Anatol J Cardiol. 2015 May;15(5):433-4. doi: 10.5152/akd.2015.6232. Anatol J Cardiol. 2015. PMID: 25993723 Free PMC article. No abstract available.
-
Author's Reply.Anatol J Cardiol. 2015 May;15(5):434. Anatol J Cardiol. 2015. PMID: 26213727 Free PMC article. No abstract available.
References
-
- Nakashima K, Kusakawa I, Yamamoto T, Hirabayashi S, Hosoya R, Shimizu W, et al. A left ventricular noncompaction in a patient with long QT syndrome caused by a KCNQ1 mutation: a case report. Heart Vessels. 2013;28:126–9. [CrossRef] - PubMed
-
- Ritter M, Oechslin E, Sütsch G, Attenhofer C, Schneider J, Jenni R. Isolated noncom-paction of the myocardium in adults. Mayo Clin Proc. 1997;72:26–31. [CrossRef] - PubMed
-
- Ojala T, Polinati P, Manninen T, Hiippala A, Rajantie J, Karikoski R, et al. New mutation of mitochondrial DNAJC19 causing dilated and noncompaction cardiomyopathy, anemia, ataxia, and male genital anomalies. Pediatr Res. 2012;72:432–7. [CrossRef] - PubMed
-
- Najjar SS, Kaloustian VM, der Nassif SI. Genital anomaly, mental retardation, and cardiomyopathy: a new syndrome? J Pediatr. 1973;83:286–8. [CrossRef] - PubMed
Publication types
MeSH terms
Supplementary concepts
LinkOut - more resources
Full Text Sources
Other Literature Sources
Medical