Moderate hemoptysis caused by hughes-stovin syndrome
- PMID: 25568765
- PMCID: PMC4274483
- DOI: 10.4081/cp.2014.647
Moderate hemoptysis caused by hughes-stovin syndrome
Abstract
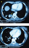
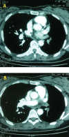
Hughes and Stovin first reported a syndrome consisting of multiple pulmonary artery aneurysms and venous thrombosis in 1959. Here, we encountered a 42-year old woman who had hemoptysis revealing a Hughes-Stovin syndrome. Helical computed tomography showed multiple pulmonary artery aneurysms with pulmonary thromboembolism. The patient was treated with steroid therapy, cyclophosphamide and anticoagulation with a good response.
Keywords: Hughes-Stovin syndrome; aneurysms; thrombosis.
Conflict of interest statement
Conflict of interest: the authors have no conflict of interest.
Figures




References
-
- Hughes JP, Stovin PG. Segmental pulmonary artery aneurysms with peripheral venous thrombosis. Br J Dis Chest 1959;53:19-27. - PubMed
-
- Weintraub JL, DeMayo R, Haskal ZJ, Susman J. SCVIR annual meeting film panel session: diagnosis and discussion of case 1. J Vasc Interv Radiol 2001;12:531-4. - PubMed
-
- Lee J, Noh JW, Hwang JW, et al. Successful cyclophosphamide therapy with complete resolution of pulmonary artery aneurysm in Hughes-Stovin syndrome patient. Clin Rheumatol 2008;27:1455-8. - PubMed
Publication types
LinkOut - more resources
Full Text Sources
Other Literature Sources