A case of epiploic appendagitis with acute gastroenteritis
- PMID: 25587527
- PMCID: PMC4291452
- DOI: 10.5223/pghn.2014.17.4.263
A case of epiploic appendagitis with acute gastroenteritis
Abstract
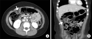
Epiploic appendagitis is an inflammation of the epiploic appendage in which the small sacs projecting from the serosal layer of the colon are positioned longitudinally from the caecum to the rectosigmoid area. Epiploic appendagitis is rare and self-limiting; however, it can cause sudden abdominal pain in children. Epiploic appendagitis does not typically accompany other gastrointestinal diseases. Here, we report on a healthy eight-year-old girl who presented with abdominal pain, fever, vomiting, and diarrhea. Based on these symptoms, she was diagnosed with acute gastroenteritis, but epiploic appendagitis in the ascending colon was revealed in contrast computed tomography (CT). The patient was treated successfully with conservative management. CT is beneficial in diagnosis and further assessment of epiploic appendagitis. Pediatricians need to be aware of this self-limiting disease and consider it as a possible alternate diagnosis in cases of acute abdominal pain.
Keywords: Acute gastroenteritis; Child; Epiploic appendagitis.
Figures
References
- 
    - De Brito P, Gomez MA, Besson M, Scotto B, Huten N, Alison D. Frequency and epidemiology of primary epiploic appendagitis on CT in adults with abdominal pain. J Radiol. 2008;89:235–243. - PubMed
 
- 
    - Blinder E, Ledbetter S, Rybicki F. Primary epiploic appendagitis. Emerg Radiol. 2002;9:231–233. - PubMed
 
- 
    - Jain TP, Shah T, Juneja S, Tambi RL. Case of the season: primary epiploic appendagitis: radiological diagnosis can avoid surgery. Semin Roentgenol. 2008;43:4–6. - PubMed
 
- 
    - Pereira JM, Sirlin CB, Pinto PS, Jeffrey RB, Stella DL, Casola G. Disproportionate fat stranding: a helpful CT sign in patients with acute abdominal pain. Radiographics. 2004;24:703–715. - PubMed
 
- 
    - Van Breda Vriesman AC, de Mol van Otterloo AJ, Puylaert JB. Epiploic appendagitis and omental infarction. Eur J Surg. 2001;167:723–727. - PubMed
 
Publication types
LinkOut - more resources
- Full Text Sources
- Other Literature Sources
 
         
              