IgG4-related kidney disease--an update
- PMID: 25594543
- PMCID: PMC4318645
- DOI: 10.1097/MNH.0000000000000102
IgG4-related kidney disease--an update
Abstract
Purpose of review: IgG4-related disease (IgG4-RD) is a recently recognized systemic inflammatory disorder that can affect most organs/tissues such as sarcoidosis. The kidney is a frequently affected organ with tubulointerstitial nephritis (TIN), the representative lesion of IgG4-RD. This review focuses on the latest knowledge of IgG4-related kidney disease (IgG4-RKD).
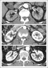
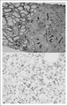
Recent findings: A wide range of renal manifestations of IgG4-RD, that is TIN, membranous glomerulonephritis (MGN) and other glomerular lesions, and pyelitis, are collectively referred to as IgG4-RKD. Clinically, decreased renal function, or characteristic imaging findings such as multiple low-density lesions on contrast-enhanced computed tomography or diffuse thickening of the renal pelvic wall, are typical presenting features. Although a rapid response to corticosteroid therapy is a very important feature of IgG4-TIN, in cases in which renal function is moderately to severely decreased before therapy, only partial recovery of renal function is obtained.
Summary: TIN with characteristic imaging findings is a typical manifestation of IgG4-RKD in the interstitium, while MGN is a representative manifestation of the glomerular lesions. Although IgG4 is a central feature of IgG4-RD, the recent discovery of IgG4-negative IgG4-RD raises questions about the causative role of the IgG4 molecule in this context.
Figures




References
-
- Stone JH, Zen Y, Deshpande V. IgG4-related disease. N Engl J Med 2012; 366:539–551. - PubMed
-
- Umehara H, Okazaki K, Masaki Y, et al. Comprehensive diagnostic criteria for IgG4-related disease (IgG4-RD), 2011. Mod Rheumatol 2012; 22:21–30. - PubMed
-
- Deshpande V, Zen Y, Chan JK, et al. Consensus statement on the pathology of IgG4-related disease. Mod Pathol 2012; 25:1181–1192. - PubMed
Publication types
MeSH terms
Substances
LinkOut - more resources
Full Text Sources
Medical
Molecular Biology Databases
Research Materials
Miscellaneous