Aortic emergencies-diagnosis and treatment: a pictorial review
- PMID: 25638646
- PMCID: PMC4330229
- DOI: 10.1007/s13244-014-0380-y
Aortic emergencies-diagnosis and treatment: a pictorial review
Abstract
Objectives: To demonstrate the various presentations of acute aortic pathology and to present diagnostic and therapeutic approaches.
Methods: Diagnostic imaging is the key to the reliable diagnosis of acute aortic pathology with multi-slice computed tomography angiography (CTA) as the fastest and most robust modality. Endovascular aortic repair (EVAR) with stent grafts and open surgical repair are therapeutic approaches for aortic pathology.
Results: CTA is reliable in diagnosing and grading aortic trauma, measuring aortic diameter in aortic aneurysms and detecting vascular wall pathology in acute aortic syndrome and aortic inflammation. CTA enables planning the optimal therapeutic approach. Stent graft implantation and/or an open surgical approach can address vascular wall pathology and exclude aortic aneurysms.
Conclusion: Aortic emergencies have to be detected quickly. CTA is the imaging method of choice and helps to decide whether elective, urgent or emergent treatment is necessary with EVAR and open surgical repair as the main treatment approaches.
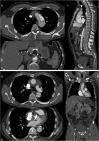
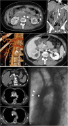
Teaching points: • To present aortic pathology caused by trauma • To present acute aortic syndrome (aortic dissection, intramural haematoma and penetrating ulcers) • To present symptomatic and ruptured aortic aneurysm • To present infection (mycotic aneurysms/aorto-duodenal fistulae) or iatrogenic injury of the aorta • To understand different presentations for treatment planning (EVAR and open surgery).
Figures













References
-
- Authors/Task Force m. Erbel R, Aboyans V, et al. 2014 ESC guidelines on the diagnosis and treatment of aortic diseases: document covering acute and chronic aortic diseases of the thoracic and abdominal aorta of the adult. The task force for the diagnosis and treatment of aortic diseases of the European Society of Cardiology (ESC) Eur Heart J. 2014;35(41):2873–2926. doi: 10.1093/eurheartj/ehu281. - DOI - PubMed
-
- Hiratzka LF, Bakris GL, Beckman JA, et al. 2010 ACCF/AHA/AATS/ACR/ASA/SCA/SCAI/SIR/STS/SVM guidelines for the diagnosis and management of patients with thoracic aortic disease: a report of the American College of Cardiology Foundation/American Heart Association Task Force on Practice Guidelines, American Association for Thoracic Surgery, American College of Radiology, American Stroke Association, Society of Cardiovascular Anesthesiologists, Society for Cardiovascular Angiography and Interventions, Society of Interventional Radiology, Society of Thoracic Surgeons, and Society for Vascular Medicine. Circulation. 2010;121(13):e266–369. doi: 10.1161/CIR.0b013e3181d4739e. - DOI - PubMed
LinkOut - more resources
Full Text Sources
Other Literature Sources