Teary eyes due to 21 pence?
- PMID: 25687704
- PMCID: PMC4330421
- DOI: 10.1136/bcr-2014-206947
Teary eyes due to 21 pence?
Abstract
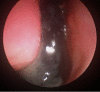
A woman in her late 70s with chronic bilateral epiphora under ophthalmology review was referred to our department for dacryocystorhinostomy after punctoplasty and detection of nasolacrimal duct obstruction. A CT scan of the paranasal sinuses for preoperative planning revealed complete opacification of the right maxillary, anterior ethmoid, frontal and sphenoid sinuses, left septal deviation and an incidental finding of foreign bodies in the right anterior nasal airspace. She proceeded with functional endoscopic sinus surgery (FESS) and removal of foreign bodies. To our surprise, a partially eroded 20 pence and 1 penny coin were found and removed from her right nasal airway. There was no history given about foreign bodies in her nose. Her symptoms improved postoperatively.
2015 BMJ Publishing Group Ltd.
Figures







References
-
- Benardino CR. Evaluating epiphora: nothing to cry about. Review of ophthalmology: Jobson Medical Information LLC; 13 June 2011. http://www.revophth.com/content/d/plastic_pointers/c/28669/ (accessed 25 Jul 2014).
-
- NICE: Endoscopic dacryocystorhinostomy February 2005. http://www.nice.org.uk/nicemedia/live/11027/30616/30616.pdf (accessed 26 Jul 2014).
-
- Platt D, Siddique SS, Idrizovic A et al. . Tearing in the adult patient. Contemp Opthalmol 2008;7:1–8.
-
- Price KM, Richard MJ. Opthalmic pearls: external diseases—the tearing patient: diagnosis and management. Eyenet 2009:33–5 http://www.aao.org/publications/eyenet/200906/upload/33_pearls_shp.pdf (accessed 26 Jul 2014).
Publication types
MeSH terms
LinkOut - more resources
Full Text Sources
Other Literature Sources
Medical