Alisertib is active as single agent in recurrent atypical teratoid rhabdoid tumors in 4 children
- PMID: 25688119
- PMCID: PMC4483126
- DOI: 10.1093/neuonc/nov017
Alisertib is active as single agent in recurrent atypical teratoid rhabdoid tumors in 4 children
Abstract
Background: Aurora Kinase A (AURKA) encodes a protein that regulates the formation and stability of the mitotic spindle and is highly active in atypical teratoid rhabdoid tumors (ATRT) through loss of the INI1 tumor suppressor gene. Alisertib (MLN8237) inhibits AURKA in vitro and in vivo. Given the strong preclinical data supporting the use of alisertib for ATRT patients, we sought and obtained permission to use alisertib in single patient treatment plans for 4 recurrent pediatric ATRT patients.
Methods: Patients with recurrent or progressive ATRT received alisertib 80 mg/m(2) by mouth once daily for 7 days of a 21-day treatment cycle. Disease evaluation (MRI of brain and spine and lumbar puncture) was done after 2 cycles of alisertib and every 2-3 cycles thereafter for as long as the patients remained free from tumor progression.
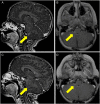
Results: Four patients with median age of 2.5 years (range, 1.39-4.87 y) at diagnosis received alisertib 80 mg/m(2) by mouth once daily for 7 days of a 21-day treatment cycle, and all 4 patients had disease stabilization and/or regression after 3 cycles of alisertib therapy. Two patients continued to have stable disease regression for 1 and 2 years, respectively, on therapy.
Conclusions: Single-agent alisertib produced marked and durable regression in disease burden, as detected by brain and spine MRI and by evaluation of spinal fluid cytology. Alisertib has moderate but manageable toxicities, and its chronic administration appears feasible in this pediatric population. These novel data support the incorporation of alisertib in future therapeutic trials for children with ATRT.
Keywords: ATRT; Aurora kinase A; brain tumor; pediatric; targeted therapy.
© The Author(s) 2015. Published by Oxford University Press on behalf of the Society for Neuro-Oncology. All rights reserved. For permissions, please e-mail: journals.permissions@oup.com.
Figures
References
-
- Biggs PJ, Garen PD, Powers JM, et al. Malignant rhabdoid tumor of the central nervous system. Hum Pathol. 1987;18(4):332–337. - PubMed
-
- Burger PC, Yu IT, Tihan T, et al. Atypical teratoid/rhabdoid tumor of the central nervous system: a highly malignant tumor of infancy and childhood frequently mistaken for medulloblastoma: a Pediatric Oncology Group study. Am J Surg Pathol. 1998;22(9):1083–1092. - PubMed
-
- Parham DM, Weeks DA, Beckwith JB. The clinicopathologic spectrum of putative extrarenal rhabdoid tumors. An analysis of 42 cases studied with immunohistochemistry or electron microscopy. Am J Surg Pathol. 1994;18(10):1010–1029. - PubMed
-
- Buscariollo DL, Park HS, Roberts KB, et al. Survival outcomes in atypical teratoid rhabdoid tumor for patients undergoing radiotherapy in a Surveillance, Epidemiology, and End Results analysis. Cancer. 2011;11817:4212–4219. - PubMed
-
- Hilden JM, Meerbaum S, Burger P, et al. Central nervous system atypical teratoid/rhabdoid tumor: results of therapy in children enrolled in a registry. J Clin Oncol. 2004;22(14):2877–2884. - PubMed
Publication types
MeSH terms
Substances
Supplementary concepts
Grants and funding
LinkOut - more resources
Full Text Sources
Other Literature Sources
Medical
Miscellaneous
