Severe strongyloidiasis with negative serology after corticosteroid treatment
- PMID: 25690926
- PMCID: PMC4335588
- DOI: 10.12659/AJCR.892759
Severe strongyloidiasis with negative serology after corticosteroid treatment
Abstract
Background: Strongyloidiasis usually presents as a chronic and limited disease, but in some immunocompromised patients it may become a life-threatening disease.
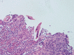
Case report: A 77-year-old Haitian male, with history of temporal arteritis on 40 mg of oral prednisone presented complaining of decreased oral intake, epigastric pain, and non-bloody diarrhea. He had bi-temporal wasting and a distended abdomen but without guarding or tenderness. Laboratory examination included mild leukocytosis, anemia, negative HIV antibody, negative parasite stool exam, and negative serology for Giardia and Strongyloides. CT of the abdomen showed multiple distended loops, without obstruction. During the admission he had a 4 g hemoglobin drop and a positive occult blood test, requiring blood transfusions, IV pantoprazole, and upper endoscopy. Findings included severe duodenitis, blunted villi, and intramucosal and luminal helminthic worms and eggs. Pathology showed Strongyloides stercoralis infection, confirmed by subsequent PCR. He was given 1 day of 15 mg oral ivermectin, diarrhea resolved, and was discharged with a percutaneous endoscopic gastrostomy tube because of the persistent lack of appetite. ConCLUSIONS: Given the persistent nature of strongyloidiasis and its high susceptibility to ivermectin, it potentially would be worth consider treating high-risk patients in the appropriate clinical and epidemiological setting, irrespective of screening test results, in order to avoid false-negative result consequences.
Figures
References
Publication types
MeSH terms
Substances
LinkOut - more resources
Full Text Sources
Medical
