Renal failure caused by malakoplakia lesions of the urinary bladder
- PMID: 25695020
- PMCID: PMC4317724
- DOI: 10.5812/numonthly.18522
Renal failure caused by malakoplakia lesions of the urinary bladder
Abstract
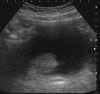
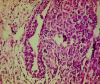
Μalakoplakia is a rare inflammatory condition of the urogenital tract. The most frequently affected organ is urinary bladder. This condition has features of a granulomatous inflammation, the pathogenesis of which is not well understood. In this study, we presented a case of urinary bladder malakoplakia associated with advanced obstructive uropathy and renal failure.
Keywords: Inflammatory Disease; Kidney Failure; Malakoplakia; Urinary Bladder.
Figures




References
-
- Ballesteros Sampol JJ. [Urogenital malacoplakia. Report of 4 cases and review of the literature]. Arch Esp Urol. 2001;54(8):768–76. - PubMed
-
- Gupta R, Mahajan A, Atri S, Gupta CL. Recurrent painless hematuria secondary to malacoplakia of the urinary bladder: a case report and review of literature. Urol J. 2013;10(1):821–3. - PubMed
-
- Bessim S, Heller DS, Dottino P, Deligdisch L, Gordon RE. Malakoplakia of the female genital tract causing urethral and ureteral obstruction. A case report. J Reprod Med. 1991;36(9):691–4. - PubMed
-
- Ristic-Petrovic A, Stojnev S, Jankovic-Velickovic L, Marjanovic G. Malakoplakia mimics urinary bladder cancer: a case report. Vojnosanit Pregl. 2013;70(6):606–8. - PubMed
Publication types
LinkOut - more resources
Full Text Sources
Other Literature Sources