SWI or T2*: which MRI sequence to use in the detection of cerebral microbleeds? The Karolinska Imaging Dementia Study
- PMID: 25698623
- PMCID: PMC8013035
- DOI: 10.3174/ajnr.A4248
SWI or T2*: which MRI sequence to use in the detection of cerebral microbleeds? The Karolinska Imaging Dementia Study
Abstract
Background and purpose: Cerebral microbleeds are thought to have potentially important clinical implications in dementia and stroke. However, the use of both T2* and SWI MR imaging sequences for microbleed detection has complicated the cross-comparison of study results. We aimed to determine the impact of microbleed sequences on microbleed detection and associated clinical parameters.
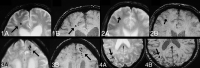
Materials and methods: Patients from our memory clinic (n = 246; 53% female; mean age, 62) prospectively underwent 3T MR imaging, with conventional thick-section T2*, thick-section SWI, and conventional thin-section SWI. Microbleeds were assessed separately on thick-section SWI, thin-section SWI, and T2* by 3 raters, with varying neuroradiologic experience. Clinical and radiologic parameters from the dementia investigation were analyzed in association with the number of microbleeds in negative binomial regression analyses.
Results: Prevalence and number of microbleeds were higher on thick-/thin-section SWI (20/21%) compared with T2*(17%). There was no difference in microbleed prevalence/number between thick- and thin-section SWI. Interrater agreement was excellent for all raters and sequences. Univariate comparisons of clinical parameters between patients with and without microbleeds yielded no difference across sequences. In the regression analysis, only minor differences in clinical associations with the number of microbleeds were noted across sequences.
Conclusions: Due to the increased detection of microbleeds, we recommend SWI as the sequence of choice in microbleed detection. Microbleeds and their association with clinical parameters are robust to the effects of varying MR imaging sequences, suggesting that comparison of results across studies is possible, despite differing microbleed sequences.
© 2015 by American Journal of Neuroradiology.
Figures


References
-
- Werring DJ, ed. Cerebral Microbleeds: Pathophysiology to Clinical Practice. Cambridge: Cambridge University Press; 2011
-
- Cordonnier C, van der Flier WM. Brain microbleeds and Alzheimer's disease: innocent observation or key player? Brain 2011;134(pt 2):335–44 - PubMed
-
- Jellinger KA. Alzheimer disease and cerebrovascular pathology: an update. J Neural Transm 2002;109:813–36 - PubMed
Publication types
MeSH terms
LinkOut - more resources
Full Text Sources
Other Literature Sources
Medical