Spontaneous Bone Healing after Cysts Enucleation without Bone Grafting Materials: A Randomized Clinical Study
- PMID: 25709749
- PMCID: PMC4329039
- DOI: 10.1055/s-0034-1384738
Spontaneous Bone Healing after Cysts Enucleation without Bone Grafting Materials: A Randomized Clinical Study
Abstract
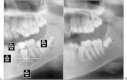
The aim of this study was to evaluate spontaneous bone regeneration after cysts enucleation of the jaws without the use of bone grafting materials. We included 18 patients at random (11 men and 7 women) with a mean age of 31.8 years, with jaw cysts treated by enucleation, without the use of grafting materials. A method of measurements to assess the percentage of reduction of the bone cavities was used to objectify the results. The patients were evaluated before and at least 6 months after surgery, with radiographic scans based on linear measures with a computerized method using Nemoceph program (Nemotec, NemoCeph Software, Madrid, España). The analysis of the sample shows an average of 85.59% decrease in horizontal measures, 89.53% in the vertical, and 88.98 and 89.81% in the diagonal left and right, respectively. The total average reduction was 88.47%. It showed a greater decrease in vertical and diagonal measurements with respect to horizontal. Regeneration in 12 patients was 100% and in 6 patients was higher at 50.4%. Bone density increased in the postoperative radiographs. The results suggest that in some cases, spontaneous bone regeneration can be achieved by cysts enucleation without bone grafting materials.
Keywords: bone regeneration; cysts of the jaws; enucleation; grafting biomaterials; spontaneous osteogenesis.
Conflict of interest statement
Figures




References
-
- Sapp J P, Eversole L R, Wysocki G P. St Louis, MO: Mosby Inc. an Elsevier Imprint; 2004. Cyst of the oral regions; pp. 46–47.
-
- Koca H, Esin A, Aycan K. Outcome of dentigerous cysts treated with marsupialization. J Clin Pediatr Dent. 2009;34(2):165–168. - PubMed
-
- Bodner L, Bar-Ziv J. Characteristics of bone formation marsupialization of jaw cysts. Dentomaxillofac Radiol. 1998;27(3):166–171. - PubMed
-
- Chima K K, Seldin E B, Dodson T B. Comparison of wound management methods after removal of maxillofacial osseous lesions. J Oral Maxillofac Surg. 2006;64(9):1398–1403. - PubMed
-
- van Doorn M E. Enucleation and primary closure of jaw cysts. Int J Oral Surg. 1972;1(1):17–25. - PubMed
Publication types
LinkOut - more resources
Full Text Sources
Other Literature Sources