Skip to main page content
U.S. flag

An official website of the United States government

Dot gov

The .gov means it’s official.
Federal government websites often end in .gov or .mil. Before sharing sensitive information, make sure you’re on a federal government site.

Https

The site is secure.
The https:// ensures that you are connecting to the official website and that any information you provide is encrypted and transmitted securely.

Access keys NCBI Homepage MyNCBI Homepage Main Content Main Navigation
Case Reports
. 2015 Feb 26:2015:bcr2014209176.
doi: 10.1136/bcr-2014-209176.

Lipoma of the corpus callosum

Affiliations
Case Reports

Lipoma of the corpus callosum

Muna AlJallaf et al. BMJ Case Rep. .
No abstract available

PubMed Disclaimer

Figures

Figure 1
Figure 1
Brain CT—sagittal plane, white arrow shows a large, well-defined low-density lesion involving the genu and body of the corpus callosum.
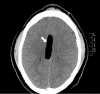
Figure 2
Figure 2
Brain CT—horizontal plane, white arrow shows a large, well-defined low-density lesion involving the genu and body of the corpus callosum.
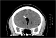
Figure 3
Figure 3
Brain CT—coronal plane, white arrow shows a large, well-defined low-density lesion involving the genu and body of the corpus callosum.
Figure 4
Figure 4
Series of CT brain slices—incidental finding representing a lipoma of the corpus callosum.

References

    1. Truwit CL, Barkovich AJ. Pathogenesis of intracranial lipoma: an MR study in 42 patients. AJR Am J Roentgenol 1990;155:855–64 http://www.ajronline.orghttp://dx.doi.org/10.2214/ajr.155.4.2119122 - DOI - PubMed
    1. Yilmaz N, Unal O, Kiymaz N et al. . Intracranial lipomas—a clinical study. Clin Neurol Neurosurg 2006;108:363–8 http://www.sciencedirect.comhttp://dx.doi.org/10.1016/j.clineuro.2005.04.003 - DOI - PubMed

Publication types